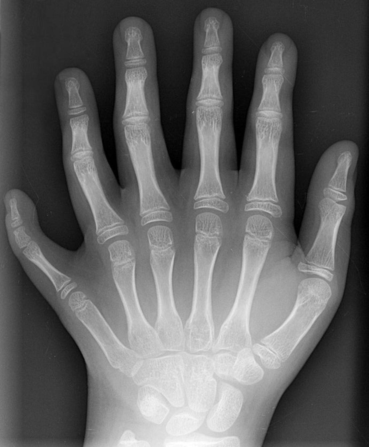
Eski zamanlarda denizciler, ön patilerinde fazladan parmağı olan kedileri gemilerine alırdı. Bu kediler hem daha dengeli olurdu hem de daha iyi fare yakalardı. Polidaktil olarak bilinen bu durum insanlarda da görülüyor ve bizde genelde 6 parmaklılık şeklinde ortaya çıkıyor.
Nature Communications’da yayımlanan bir makalede, altı parmaklı insanların yetenekleri incelendi. Bu durum, kabaca her 500 kişiden birinde görülüyor. Bu durum genel olarak altıncı parmağın işlevsiz olacağı inanışı nedeniyle fazla parmağın alınmasıyla sonuçlanıyor. Altıncı parmağı alınmamış bir kadın ve kadının yine altı parmaklı oğluyla yapılan çalışmalar ise bu bedensel farkların kötü bir şey olmadığını, aksine işlevli olabildiklerini gösterdi.
İçerikten Görseller
Altıncı parmaklar her anlamda kendine özel

İlk olarak, altıncı parmakların hem sinirsel hem de kas sistemi açısından komşularına bir engel çıkarmıyor. Kendi özel sistemlerine sahip. Yani diğer parmaklarda işlevsel açıdan bir sıkıntı oluşturmuyor.
Altıncı parmak doğal değilse nasıl bu kadar güçlü olabiliyor? Bu konuda en güzel örnek temsili demokrasi örneği. Nüfus artınca yeni bir yerleşim yeri (altıncı parmak) ortaya çıkıyor. Ancak bu bölgenin gerçek anlamda temsil edilebilmesi için TBMM’de(Beyin) vekilinin olması gerekiyor. Anne ve çocuğunda da bu altıncı parmak bölgesinin kendi temsilcisi olan sinirleri ve altyapısı olan kasları bulunuyor.
Araştırmacılar, her iki örnekte de beynin motor korteksinde bu parmaklara ait ayrı bölgeler keşfetti. Ayrıca bu kişiler, klavyeye bakmadan yazmak gibi testlerde de altıncı parmaklarını göremedikleri durumda bile parmaklarının yerini bildiklerini gösterdi.
Bu keşif, beynimizin standart olarak beş parmağa göre hareket etmediğinin ve daha fazla uzvumuz olması durumunda daha fazla uzvumuzu kontrol edebileceğimizin bir göstergesi. Hindistan’da bir marangozun el ve ayaklarında tam 14 parmak bulunuyor.
Araştırma yalnızca iki kişiyle yapılmış olsa da sonuçları oldukça çarpıcı. Ayrıca ileride makineler ile insanlar arasında nasıl arayüz oluşturulabileceğine de ışık tutabilecek bir çalışma söz konusu. Doğa, garip özellikleri adaptasyonunun bir parçası haline gelerek evrimleşmiş türlerle dolu.