ABD'nin Oregon eyaletinde hizmet vermekte olan Oregon Health & Science University bünyesinde çalışmalarını sürdüren bir grup bilim insanı, insan beyninin "kanalizasyon sistemini" görüntülemeyi başardı. Tıp dünyasında ilk kez gerçekleşen bu olay, bazı hastalıklar için önem arz ediyor olabilir.
Bilim insanları, 2012 yılında fare beyinlerini incelemiş, bir kanalizasyon sistemi olduğunu tespit etmişlerdi. Daha sonra yapılan incelemelerde, bu sistemin benzerinin insanlarda da bulunduğu tespit edilmişti. İşte yapılan son çalışma ile insan beyni ile ilgili bir keşif daha yapılmış oldu.
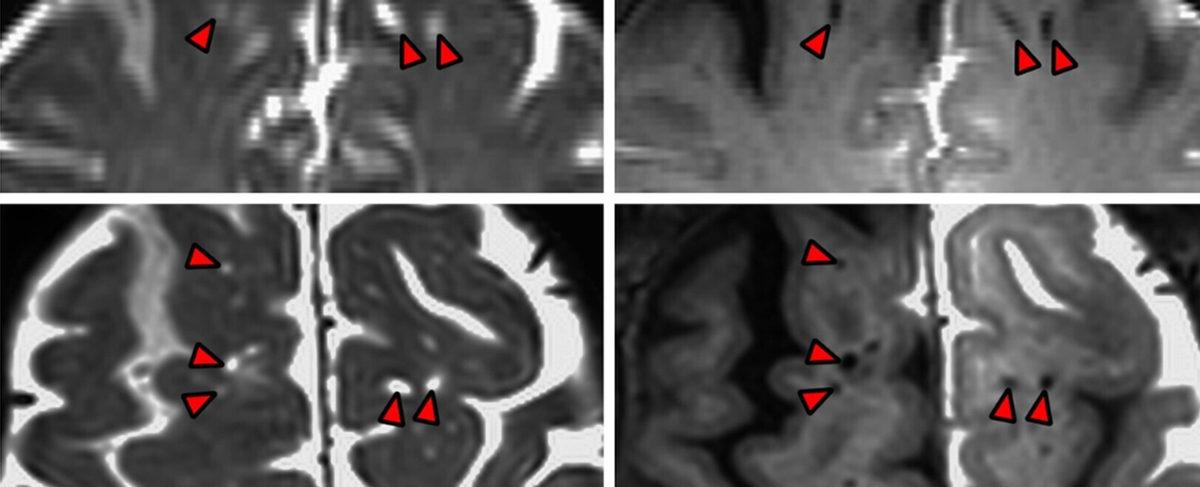
"Kanalizasyon sistemi", tam olarak nasıl çalışıyor?

Beynimiz, çevresini saran beyin omurilik sıvısı ile çevrelenmiştir. Beyin omurilik sıvısı, beyni çevresel etkilerden korumanın yanı sıra, besinleri beynin içine aktarır. Buna paralel olarak beyinde biriken atıklar da yine beyin omurilik sıvısı ile dışarı atılır. Yapılan çalışma, bu karmaşık sürecin nasıl çalıştığını, atıkların beyin dışına nasıl gönderildiğinin görüntülenebilmesini sağladı. İşte yukarıdaki fotoğrafta kırmızı oklarla gösterilmiş noktalar, insan beyninin sıhhi tesisatı.
Araştırmaya liderlik yapan Nörolog Juan Piantino, bu araştırma için beyin ameliyatı geçirmek zorunda olan 5 hastayı bulduklarını anlattı. Bu hastaların beyin omurilik sıvılarını renklendiren uzmanlar, sonraki aşamada bu sıvının hareketini incelediler. İşte yapılan inceleme ve özel görüntüleme teknikleri, insan beyninin bu sıvıdaki besinleri rastgele almadığını, belirli yollar üzerinden aktarılan sıvının beyin dokusuna ulaştığını gözler önüne serdi. Atıklar da yine bu yollar üzerinden beyin dokusu dışına gönderiliyordu.
