Birçoğumuz kulak içi hijyen sağlamak için kulak temizleme çubuklarını tercih ediyoruz. Bunun için birçok alet olsa da en kolay ve pratiği bu gibi görünüyor. Ancak bu yöntem düşündüğümüz kadar sağlıklı ve güvenli olmayabilir. Kulak temizleme çubuklarıyla kulaklarımızı temizlemek, kiri göz önünden kaldırırken çok daha büyük sorunlara yol açabilir.
2019 yılında kayıtlara geçen bir vaka raporuna göre çubukların teşkil ettiği risk oldukça korkutucu. Oldukça sağlıklı bir adam, rapora göre çeşitli nöbetlerden ve zihinsel bulanıklıktan şikayetçiydi. Yapılan testler sonucunda adamın kafatasının içinde kulak kirine bağlı bir enfeksiyona rastlandı.
Kulak kiri bilinç kaybına sebep oldu

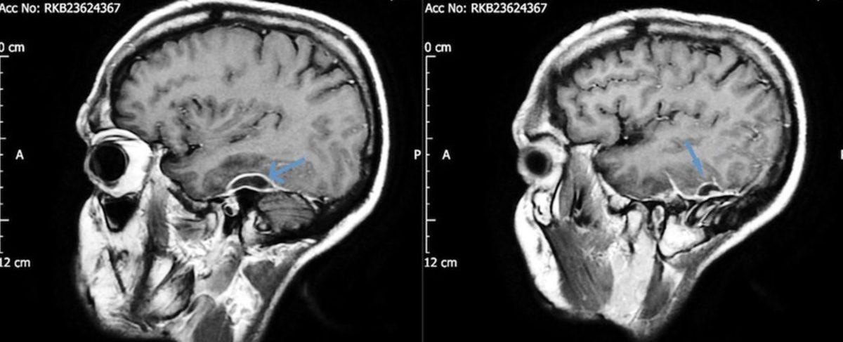
Rapor edilen vakaya göre 31 yaşında, sağlıklı görünen bir adam aniden yere yığıldı ve ambulansla hastanenin acil servisine götürüldü. Hastanede birtakım nöbetler geçiren adam, oldukça uykulu ve kafası karışıktı. İlerleyen günlerde baş ağrısı ve bulantı tecrübeleyen adamın hafızası da eskisi kadar güçlü değildi. Daha sonrasında yıllardır aralıklı şekilde sol kulak ağrısı çektiğini ve duyma kaybı yaşadığını bildiren adamın tehlikeli bir enfeksiyon kaptığı anlaşıldı. Yapılan CT tarama testleri sonucunda adamın kafatasında iltihap dolu bir apse bulundu.
Kulak çubuğu nasıl kafatasında iltihaba sebep oldu?

Kulak çubuğunun pamuğu, adamın kulağına sıkıştı. Kanalları tıkayan pamuk sadece ses kaybına ve ağrıya yol açmadı; aynı zamanda kulak kirinin de içeride birikmesine neden oldu. İlerleyen ve gittikçe büyüyen kir sonunda beyni saran dokuya ulaştı ve burada iltihaba neden oldu.
Neyse ki sıkışan pamuk adamın kulağından çıkarıldı ve 8 haftalık antibiyotik kullanımı sonrasında istenen sonuca ulaşıldı. Adamın tecrübelediği ciddi nörolojik sorunlar çözüldü. Kendisi artık kesinlikle kulak temizleme çubuğu kullanmıyor. Uzmanlar, her zaman bu kadar ciddi olmasa da kulak temizleme çubukların birçok soruna yol açabildiğini belirterek başka hijyen alternatiflerini öneriyor.
