İstemsizce dalıp gitmelerin çoğunda ortak bir özellik bulunuyor: Koşullar ne olursa olsun kişi, yaptığı işe karşı geçici olarak ilgisizleşiyor ve yaptığı işle tüm bağını bir süreliğine kesiyor.
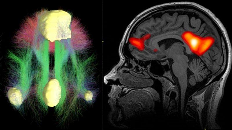
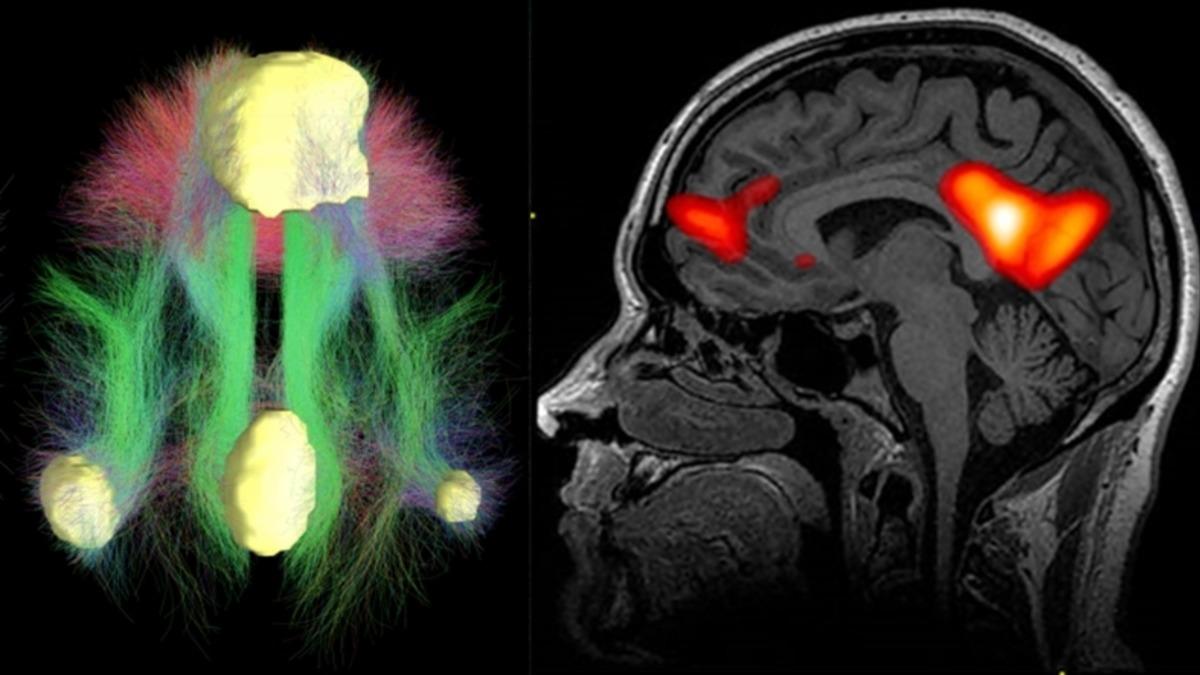
Bilim insanları, bu istemsiz dalıp gitmeyi bir hipotezle açıklıyor. Bu hipoteze göre, insan beyninde DMN (Default Mode Network) adı verilen bir ağ bulunuyor ve bu ağ, beynin diğer tüm bölgeleriyle etkileşime girdiğinde kişi, elinde olmadan uzaklara dalıp gitmelere başlıyor. Oldukça ilginç olan bu hipotezle ilgili detaylara ve daha fazlasına gelin, birlikte bakalım.
Hipoteze göre uzaklara dalmanın nedeni, uyanık dinlenme modunun aktive olması.

Bir kişi, çevresinde yaşanan şeylere karşı ilgisiz olduğunda veya tam odaklanmadığında, kişinin beyni uyanık bir dinlenme haline geçiyor. DMN denen bu ağ, insanlar geçmişlerini veya geleceklerini düşündüklerinde ve kendi içlerine kapanık bir hal aldıklarında da devreye girerek etkisini gösterebiliyor.

Yani bir nevi, yaptığınız işe tam olarak odaklanıp kendinizi vermediğinizde, beynin bu modu devreye girerek sizi bilinçsizce içinde bulunduğunuz durumdan uzaklaşmaya yönlendirir. Bu modun bir diğer adı da bilinçli bir seçim olmadan ortaya çıkan durum anlamına gelen ‘’Default Mode’’. Fakat şunu da söylemek gerekiyor ki DMN ile beynin dikkat ağları arasında pozitif bir korelasyon yok. Mesela bir kişi, yaptığı işe gerçekten özen gösterse bile bu, o işe ciddi anlamda dikkatini veriyor demek değildir. Yani sıkı ve dikkatli çalışan biri bile bazen dalıp dalıp gidebilir.
Bazı bilim insanları, bu durumun nedenini ayrışma hipotezi ile açıklıyor.

Bilim insanları Jonathan W. Schooler ve Jonathan Smallwood’a göre, kişinin dikkati çevresinden ayrıştığı zaman, kişi dışarıdaki şeylere karşı duyarsızlaşıyor. Bu duyarsızlaşma, kişinin göz bebeklerinin dış ortamdan tamamen bağımsız bir hale gelmesini sağlıyor ve böylece kişinin göz bebekleri bir küçülüp bir büyüyor. Bu durum da bahse konu, uzaklara bakmalara ve kime böyle dalıp gitmelerin sorusunun sorulmasına neden olabiliyor.
Kaynaklar: Live Science, Olağanüstü Kanıtlar
