Dünya üzerinde şimdiye kadar beyinciği olmadığı tespit edilen kişi sayısı yalnızca 9 ve beyinciksiz insanların yaşamları sağlıklı insanlara kıyasla, alışılmışın dışında birtakım farklılıklar göstermekte.
Genellikle denge mekanizmasından sorumlu olduğunu bildiğimiz ancak vüdumuzda daha birçok role sahip olan beyincik, olmadığında vücudumuzda ne gibi değişiklikler ortaya çıkıyor?
Bu organın varlığından yoksun olan insanlar, beyinciğin işlevine ve beyinciksiz yaşamanın nasıl bir deneyim olduğuna dair bilim dünyasını benzersiz bir şekilde aydınlatmış durumda.

Çeşitli ameliyatlarla ya da doğuştan, beynin bir kısmının olmaması ya da kaybolması nadir rastlanan bir vaka olduğundan doktorlar, bu durumun o kişiyi nasıl etkilediğine dair kapsamlı bir açıklamanın olmadığını ifade etmekte.
Çünkü beyinciği olmayan çoğu insan, genç yaşta ölmüştü ve şimdiye kadar bu rahatsızlık ancak ölümden sonra otopside tespit edilebilmişti.
Beyincik, hepimizin aşina olduğu gibi hareketlerimizi koordine etmenin yanında günlük yaşantımızda kontrollü ve dengeli olmamıza katkı sağlar.
Beynimizdeki motor korteks, vücudumuzda istenilen bölgenin hareket etmesini söyler ve beyincik de bu hareketin doğru bir şekilde meydana gelmesinde rol oynar.
Kısaca parmağın kıvrılmasından, bacağın hareket ettirilmesine kadar oldukça önemli bir işleve sahip olan beyincik, bir bakıma yapılması istenilen ve kendisinin sorumlu olduğu her hareketin organize edilmesinde başlıca bir göreve sahiptir. Beyincik olmadan yaşamak mümkündür ancak bu organa sahip olmamak belli başlı konularda, yaşamı biraz zorlaştırır.
Boston’da yaşayan ve şu sıralar 30’lu yaşlarının sonlarında olan Jonathan Keleher, beyinciksiz yaşayan insanlardan sadece biri.

Jonathan henüz bebeklik çağlarında, bir bebeğin belli bir gelişime ulaştığında kendi kendine yapabilmesi gereken oturmak, yürümek ve koşmak gibi temel becerileri yerine getiremiyordu. Bu durumdan şüphelenen ailesi, oğullarını birçok doktora götürmeye başladı. Sonunda 5 yaşındayken yapılan bir beyin taraması, neyin ters gittiğini ortaya çıkardı.
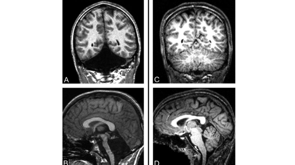
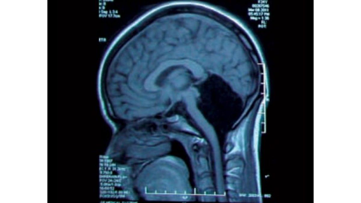
Jonathan, bir beyinciği olmadan doğmuştu ve beyinciğinin olması gereken yerde siyah bir boşluk vardı.

Bu durum kesin bir şekilde tespit edildikten sonra harekete geçen araştırmacı ve doktorlar, Jonathan’ın gelişimini incelemek amacıyla onu yakın takibe aldı.
Araştırmacılara göre, beyinciğe sahip olmayan insanların en genel tabirle, ince motor becerileri birtakım kusurlara sahip. Genellikle bastona ya da herhangi bir desteğe ihtiyaç duyarak yürüme becerisini yerine getirebilmelerine rağmen yazma ve konuşma becerileri çeşitli zayıflıklar gösterir.
Bu kişilerin el yazıları çoğunlukla biraz bozuktur ve konuşmaları anlaşılmayacak derecede olmasa da biraz kusurludur.

Beyinciksiz insanlar, sosyal uyaranlar karşısında tepki vermekte zorlanırlar ve üstelik bisiklet veya araba kullanamazlar. Jonathan’ın yaşamı da bu aksaklıklarla ilerliyor, konuşması ve not alma biçimi de sağlıklı bir insana göre farklılıklar gösteriyor.
Bu durum, Jonathan’ın motor becerilerini etkilmesinin yanında duygusal koordinasyonunu da etkisi altına alıyor.
Beyinciğe sahip olmayan kişiler, sağlıklı insanların ailesiyle ya da yakın çevresiyle kurduğu gibi çevresindeki insanlarla derin ilişkiler kuramaz ve bu kişiler duygularını ifade etmekte zorlanır. Duygusal farkındalıkları alışılmışın dışındadır ve duygularını gösterme biçimleri karşılarındaki insanlar için oldukça yetersizdir.
6 yaşına kadar net bir şekilde konuşmaya başlamayan ve 7 yaşına kadar yürüyemeyen Çinli genç bir kadın ise, beyinciğinin olmadığını 24 yaşında öğrenmişti ve “beyninde delik olan kadın” olarak anılmıştı.

Mide bulantısı ve baş dönmesi şikayetleriyle doktora giden ve bu rahatsızlıklar ışığında tetkikleri yapılan kadının, 2014’te doktorlar tarafından beyinciğinin olmadığı ve bu organ yerine o bölgenin beyin omurilik sıvısıyla dolu olduğu tespit edildi.
Beyinciğin varlığından yoksun olan insanlarda çeşitli zihinsel ve hareket bozuklukları, epilepsi ve beyinde ölümcül bir sıvı birikmesi görülebilirken, Çinli kadında bu eksiklik tıpkı Jonathan'da olduğu gibi orta düzeyde motor yetersizliğine ve konuşma esnasındaki telaffuzunda görülen problemlere sebep olmuştu.
Doktorlar eksik beyinciği, beynin diğer bölümlerinin devraldığını ve beyinciğin kaybolmasına sebep olan şeyin, aslında beynin “duruma uyum sağlaması” olarak ifade etti.
Kaynaklar: Medium, Dana Simmons, New Scientist, Science Alert



