İnsanlığın var olduğu andan bugüne dek bilimin ışığında insana dair pek çok soru işareti giderilmiş, merak edilenlerin üstündeki sır perdeleri aralanmış olsa da beyin hakkında hala açıklanamayan yüzlerce şey bulunuyor. Bunun en çarpıcı örneklerinden biri de beyninin yarısı alınan insanlar!
Beyinde oluşan küçük hasarlar ve farklılıklar bile insan hayatını ciddi bir şekilde etkilerken, yarısının çıkarılmış olması kulağa son derece ürkütücü geliyor. Ceviz içini andıran görüntüsüyle beynimizin iki parçadan meydana geldiğini biliyoruz. Peki ya yarısı, yani bir parçası hayata tutunabilmek için yeterli mi?
Kaliforniya Teknoloji Enstitüsü’nden bilim insanları 2019 yılında konuyla ilgili ilginç bir çalışmaya imza atmıştı.
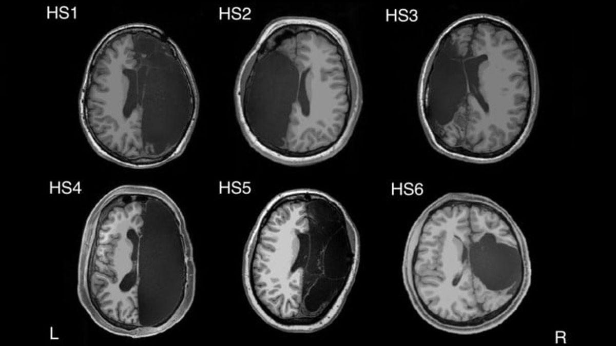
Çocukluğundan beri epilepsiyle savaşmış ve ilaçlarla tedavide başarılı olunamamış 4’ü erkek 2’si kadın olmak üzere 6 hasta, bu bilimsel araştırma için mercek altına alındı. Ameliyatla beyinlerinin yarısı çıkarılan hastaların yoğun epilepsi nöbetlerinden kurtulması hedefleniyordu.
Epilepsiyi duymuş veya yakınlarınızdan bu hastalığın baş etmesi zor bir hastalık olduğuna şahit olmuşsunuzdur. Beyindeki yoğun trafikten sorumlu nöronlarda kontrolsüz boşalmaların yaşandığı epilepsi, sık rastlanan nörolojik hastalıklardan biridir.
Kaliforniya Teknoloji Enstitüsü’ndeki çalışmada, beyninin yarısı olmayan bu 6 kişinin MRI (manyetik rezonans görüntüleme) sonuçları incelenerek, sağlıklı insanların MRI sonuçlarıyla karşılaştırıldı.

Yapılan incelemenin sonucu herkesi şaşırttı! Radyolojik görüntüler referans alındığında; yarım beyinle yaşamlarına devam eden bu 6 insanın beyin aktiviteleri ile sağlıklı insanların beyin fonksiyonları arasında büyük ölçüde benzerlik olduğu görüldü.
Yani yarım beyinle yaşamak mümkün!

Beyindeki sağlıklı bölge, hasar gören yarım küredeki nöron ağlarının eksikliğini belli bir oranda telafi edebilmek için ağ yoğunluğunu arttırmaya çalışıyor.
Üstelik hatırlama, bilgiyi anlama ve mantık kurma gibi bilişsel yetenekleri de ciddi ölçüde destekliyor. Vücut fonksiyonlarında sağlıklı bir insana göre gerilemeler ve problemler görülse de yarım beyinle yaşam devam ediyor!

