Nisan ayının başında Kanada’dan doktorlar, Plastic Surgery Case Studies dergisine ilginç bir makale gönderdiler. Doktorların dergiye gönderdikleri makalede kurşunla yaralanan bir kadının göğüslerinde bulunan silikon sayesinde hayatta kaldığı bir vaka anlatılıyordu.
Yayınlanan makalede özetlenen vakada, 30 yaşlarındaki bir kadın 2018 yılında sokakta yürürken sol göğsünde aniden sıcaklık ve acı hissettiğinden bahsediliyor. Göğsüne bakan kadın, göğsünden kan aktığını fark ediyor ve hemen acil servise başvuruyor.
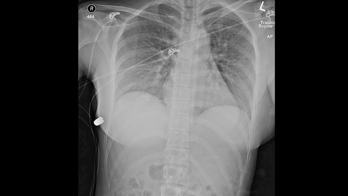
Acil serviste kadının sol göğüs ucunda belirgin bir ateşli silah yarası olduğu görülüyor. Silahla yaralanan kadın, müdahale için acil servisten bir travma merkezine sevk ediliyor ve burada katına müdahale ediliyor.
Silikon, merminin yönünü değiştirdi

Müdahale edilen kadının, sol göğsünden giren merminin sağ göğüs duvarına kadar ulaştığı belirlendi. Doktorlar müdahale için ilk olarak kadının iki göğsünde bulunan silikonları çıkardı. Çıkarılan silikonlar doktorlar tarafından incelendiğinde, merminin sol göğüste bulunan silikonu delerek geçtiği görüldü. Doktorlar, sol göğüs silikonuna giren kurşunun saparak sağ göğüs silikonuna doğru gittiğini tespit ettiler.
Doktorlar, kadının sol göğsünde bulunan silikonun kalbinin hemen üstünde ve derin göğüs boşluğunda olduğu için kadının hayatını kurtarmasının muhtemel olduğunu söylüyorlar. Kurşunla yaralanan kadının sağ kaburgasında bir kemik kırıldı ve iki göğsünde bulunan silikon da çıkarıldı. Silikonların çıkarılmasının ardından doktorlar, kadının yarasını temizlediler ve önlem olarak kadına antibiyotik verdiler. Makalenin başyazarı plastik cerrah Giancarlo McEvenue, müdahalenin ardından kadının iyileştiğini bildirdi.
Silikonun hayat kurtardığı benzer vakalar da var

Plastik cerrah Giancarlo McEvenue ve meslektaşları, bu vakanın ardından yaşanmış benzer vakalar olup olmadığını öğrenmek için araştırma yaptılar. Doktorlar, benzer 4 vaka daha buldular. Doktorların buldukları vakaların ikisinde silikonlar sayesinde kadınların hayatının kurtulduğu belirtiliyordu.
Araştırmacılar, benzer kurşunla yaralanma vakalarında silikonun mermiyi ölümcül olmayacak şekilde yavaşlattığını belirtiyorlar. Silikonların kurşunları durdurmada ne kadar etkili olduğu laboratuvarda yapılan çalışmalarda da kanıtlandı.
Benzer vakalar olması rağmen Giancarlo McEvenue ve meslektaşlarının karşılaştığı gibi merminin yönünün silikon nedeniyle değiştiği bir vaka daha resmi olarak literatürde yok. Doktorlar, kayıt altına aldıkları vakanın bu şekilde ilk vaka olduğunu söylüyorlar.

