Vücudun iç kısımlarını görüntülemeye yarayan röntgen, ultrason, bilgisayarlı tomografi, manyetik rezonans tomografisi, manyetik rezonans spektroskopisi, anjiografi gibi görüntüleme tekniklerinde sıra dışı görüntülere rastlanabiliyor.
Hastanelerde karşılaşılan bu akılalmaz vakaların gerçekleşmiş olabileceğine inanmakta zorlanacaksınız!
- Ters giden bir soygun sonucunda kafasına bıçak saplanan bir adam.

- Bir adamın arkasından atılan ateş maşası, arkadan girip önden çıkmış.

- 3 yaşındaki çocuğun gözüne saplanan bir vida.

Babası çimleri biçerken yerdeki vida fırlayarak çocuğa isabet etmiş. Neyse ki sadece yaralanmayla atlatmış.
- Çok ciddi bir bel kırığı.

- Araba kazası öncesinde ayakları ön panelde olan bir yolcunun korkunç yaralanmasının röntgeni.

18 yaşındaki bu kişi, emniyet kemeri takmıyormuş. Yaralanmanın sonucu olarak bacakları felç geçirmiş ve artık tuvaletini bile hissedemiyormuş.
- Yemeklerini pişirmeden yiyen Taylandlı bir kadın, vücudunda bir gariplik hissedip doktora gidince içinde yüzlerce parazit olduğu ortaya çıkmış.

- Penis boyunu, üretrasına USB kablosu takarak ölçmeye çalışan bir adam!

- "Mısır gevreği yerken" çenesi çıkan biri.

- El bombası yutan bir terörist. Bilmediği şeyse pimini çekmeden yuttuğu için asla patlatılamayacağıydı.

- Bir Kolombiyalı askerin yüzüne giren bomba.

Ameliyathanede patlamasından korktukları için hastanenin otoparkında sağlık personeli tarafından başarıyla çıkarılmış.
- Ağaç evden et şişinin üzerine düşen bir çocuk.

Hayatta kalmayı başarmış.
- Çin'in Vuhan şehrindeki bu çocuk, burnuna soktuğu yemek çubuğuyla beynini delmiş.
- Pakistan'da yaşayan bu kadının kafasına 5 cm'lik çivi girmesi her ne kadar ilginç olsa da bunun yaşanma sebebi çok daha ilginç.

3 kızı olan bu kadın, kocasının erkek çocuk istemesi üzerine hocaya gidiyor ve bu hoca, bebeğin erkek olması için kadının kafasına çivi çakıyor!
- Omurgasına kurşun isabet eden bir suçlu.

Bir hafta boyunca komada kalmasına neden olmuş.

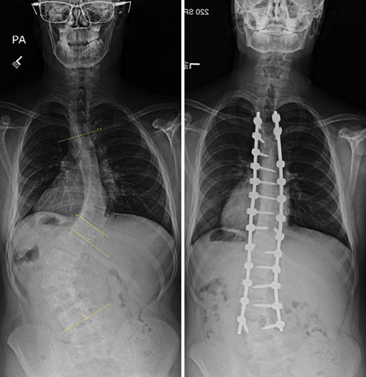
- Skolyoz rahatsızlığı olan biri.

Normalde böyle görünüyor:

- Covid'de zatürrenin 5 gün içindeki yayılışı

- Kaza sonrasında arabadan fırlayan bir adamın pelvis röntgeni.

Yedi yerinden kırılan pelvisinin, yerine oturtulabilmesi için çok sayıda vida ve harici bir sabitleme cihazı gerekmiş.

Emniyet kemerinizi takın!
- Yemek borusuna giren bir çengelli iğne.

- İç organlarını delmeden geçen küçük çiviler.

- Damar yoluyla kendisine elemental enjekte ederek intihar girişiminde bulunan birinin göğüs röntgeni.

- Koma/bitkisel hayat ve beyin ölümü karşılaştırması

Serebral anjiografi tekniğiyle yapılan bir görüntüleme. Bu teknikte sadece beyin damarları görüntülenir.
- Sintigrafi yöntemiyle görüntülenen beyin ölümü.

Sintigrafi, radyoaktif bir maddenin vücuda; damar, ağız veya diğer yollarla verildikten sonra özel kameralar ile vücudun görüntülendiği tanı yöntemidir.
![Gördüğünüz An Donakalıp Günlerce Etkisinden Çıkamayacağınız 17 Hassas Görüntü [18+]](https://imgrosetta.webtekno.com/file/342194/640xauto.jpg)
