İnsan bir makine olsa şüphesiz insan teknolojisi ile yapılmasına daha binlerce yıl vardı. Ancak yaratılıştan gelen mucize ve evrimsel sürecin doğru işlemesi sayesinde bu kusursuz makineler ile doğuyoruz. Gariptir, yalnızca tek bir işlevi olan ve hormon üreten epifiz bezi olmasa yaşayamayız. Bir anda ölürüz demiyoruz ancak epifiz bezi tarafından salgılanan hormon direkt olarak yaşamımızı ve gelişim sürecimizi etkiliyor.
Çok daha detaylı tanımını yapacağız ama kabaca tarif etmek gerekirse epifiz bezi beynin içindeki küçük bir nokta. Dışarıdan görülebilen bir yapı değil. Ancak gariptir ki Fransız filozoflardan Rene Descartes bu bölgeyi öngörmüş ve burası için ‘ruhun tahtı’ tanımını yapmıştır. Günümüz modern tıbbı sayesinde epifiz bezi nedir, ne işe yarar bütün detaylarıyla biliyoruz ama insan yine de bu tür detaylara şaşırmaktan kendini alamıyor.
İçerikten Görseller
+1

Epifiz bezi nedir?
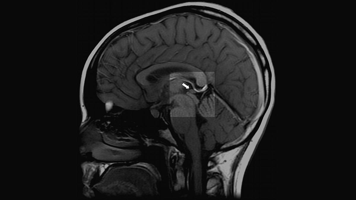
Epifiz bezi, beynin sağ ve sol loblarının birleşim noktasında bulunan epithalamus isimli bir alanın derinliklerinde bulunur. İngilizce adı pineal gland olan bu bölgenin adı, Latince çam kozalağı anlamında olan pinea kelimesinden gelmektedir. Çünkü eskiden bu bölgenin çam kozalağı boyutunda olduğu düşünülürdü ancak son yapılan çalışmalar bu bölgenin yalnızca bir bezelye kadar olduğunu ortaya koyuyor.
Epifiz bezi, yüksek oranda kalsiyum içerir ve duyularımızı kontrol eden talamus bölgesinin hemen üzerinde yer alır. Epifiz bezi, beynim tam orta noktasıdır. Öyle ki radyologlar beyin görüntüsünün incelemesi sırasında bu beze bir nokta koyarak orta alanı tespit eder ve bu nokta üzerinden incelemeler yaparlar. Boşuna ‘ruhun tahtı’ dememişler. Ancak bu bezin asıl önemi salgıladığı hormon ve bu hormonun insan yaşamına etkileridir..
Epifiz bezi ne işe yarar?

Epifiz bezinin tek işlevi hormon salgılamaktır. Salgıladığı hormon ise melatonindir. Melatonin adı tanıdık geliyor olabilir. Çünkü bu hormon, uyku düzenimizi sağlayan hormondur. Salgılanan melatonin sayesinde gündüz - gece ayrımı yapabiliyor, uyuyabiliyor, gelişebiliyor ve büyüyebiliyoruz.
Salgılanan melatonin hormonu, insanın endokrin sistemini düzenler. Bununla birlikte direkt olarak üreme sistemini de etkiler ve cinsel gelişimi düzenler. Özellikle ergenlik dönemindeki gençlere düzenli uyku önerilmesinin nedeni budur. Elbette bu gelişim yalnızca ergenlikte olmuyor. Sağlıklı bir üreme sistemi için her zaman melatonin oranına dikkat etmek gerekiyor.
Epifiz bezi ve sağlığa etkileri:

İnsan tıpkı tüm doğa gibi gece uyur, gündüz yaşar. Epifiz bezi tarafından salgılanan melatonin tam olarak bu düzeni sağlamak için vardır. Ancak düzensiz uyku durumu, vardiyalı çalışmalar, jet-lag gibi doğal olmayan durumlarda melatonin salgılama akışı düzensizleşir ve bu da yanında pek çok farklı sorunu beraberinde getirir.
Göz ışığı görür, retina bu ışığın sinyalini hipotalamus bölgesine iletir, hipotalamus ise bu sinyali epifiz bezine iletir. Epifiz bezi bakar ki ortalık karanlık, melatonin salgılamaya başlar ama bakar ki ortalık aydınlık, hormon salgılama akışını durdurur. Bu nedenle gündüz uykuları kaliteli bir uyku olarak kabul edilmiyor. Sağlıklı bir yaşam için mutlaka gece uykusuna ihtiyacımız var.
Epifiz bezi yeterli melatonin salgılamadığında düzensiz uyku sorunu yaşarız. Bunun sonucunda da aşağıdaki durumlarla karşılaşırız:
- Devamlı uykulu olma hali
- Baş ağrısı
- Baş dönmesi
- Kusma
- Anormal rüyalar görme
- Çabuk öfkelenme
- Sinirlilik
- Huysuzluk
- Hafıza bulanıklığı
- Duyu organlarında hasar
- Anksiyete
- Migren
- Hipertansiyon
- Ülser
- Egzema
- Gece terlemesi
- Kolon başta olmak üzere farklı kanser türleri
- Cinsel sağlık sorunları
- Üreme sistemi sorunları
Listeyi ‘ve benzeri’ ibaresi ile tamamlıyoruz çünkü gerçekten sonu gelmiyor. Bazıları ufak tefek sorunlar gibi görünebilir ancak hastalıkların adım adım yayıldığını unutmamak gerekiyor. Bir tanesi başladığı zaman diğerlerinin eli kulağında olabilir. Bezelye kadar bölgenin maharetleri gerçekten şaşırtıcı.
Sağlıklı bir epifiz bezi için ne yapmak gerekiyor?

Vücudumuzun bu mucizevi bölgesine iyi bakmalı ve en sağlıklı şekilde melatonin salgılamasını sağlamalıyız. Bunun için de yapılacak ilk ve en önemli şey uyku sisteminizi bir düzene sokmak. Her gece ortalama 7 - 8 saat kesintisiz bir uyku uymanız öneriliyor. Günlük rutininize göre gece uyku saatlerinizi ayarlamalısınız.
Alarmı ertelemeyin. Yarı uyanıp alarmı erteleyip sonra yarı uyur vaziyette yatmak ve sonra tekrar kalkmak uyku kalitenizi mahvedecektir. Ne eksik ne fazla, alarmınız tam da uyanmanız gereken saatte çalsın. Böylece gözün algıladığı ışık ve uyku hali arasında tam bir denge oluşacaktır.
Günde 15 dakikalık düzenli yürüyüş gibi egzersizler yapmak, yoga ve meditasyon gibi zihin rahatlatan aktiviteler yapmak, tüm kötülüklerin anası olan alkol ve sigaradan uzak durmak, karbonhidrattan ve şekerden kaçınmak gibi hayatınızı düzenleyecek şeyler yaparak çok daha kaliteli bir uyku uyayabilir, epifiz bezinize iyi bakabilir ve böylece tam olması gereken seviyede melatonin alabilirsiniz.
Epifiz bezi tarihsel süreçte nasıl görülüyordu?

Gariptir, epifiz bezi dışarıdan görünen bir bölge olmamasına rağmen ilk kez Antik Yunan’da yaşamış bir doktor ve filozof olan Galen’in yazılarında görülmüştür. Burada bahsedilen elbette kafatasında bulunan önemli bir noktaydı. Günümüzdeki anlamıyla bilinir olması ancak 20. yüzyılda gerçekleşmiştir. Fakat 16. yüzyılda da bu bölgeden bahseden filozoflar vardır.
16. yüzyıl Fransız filozoflarından Rene Descartes, epifiz bezini ‘Bütün düşüncelerimizin olduğu yer.’, ‘Ruhun tahtı.’, Canlı ve saf bir alev.’ gibi cümlelerle tanımlamıştır. Hatta beynimizdeki atardamarları kastederek, ruhumuzun küçük hayvanlarını beslediğini bile söylemiştir.
Işık, göz, retina, epifiz bezi arasındaki bağlantı tarihin bazı dönemlerinde mistik ve ezoterik kabul edilmiştir. Sonuçta ışıkla uyarılan bir noktadan bahsediyoruz. Bu nedenle epifiz bezi için ‘üçüncü göz’ tanımı da yapılıyor. Modern tıp ile birlikte artık biliyoruz ki epifiz bezinin ruh ya da zihinle alakası yok ama çok daha önemli olan melatonin hormonunun kaynağı durumunda.
Beynimizin derinlerinde küçük bir bölge olan ve yaşamın temel kaynağı olan ışık ile birlikte çalışan epifiz bezi hakkında bilmeniz gerekenleri anlattık. Doğanın sistemine uyarak düzenli beslenir, düzenli egzersiz yapar ve düzenli uyursak çok daha sağlıklı insanlar olacağımız kesin gibi görünüyor.