Alzheimer, belki de en karmaşık ve çözülmesi en zor hastalıklardan biri olarak karşımıza çıkıyor.
Bu kompleks hastalığın tedavisi yıllardır yapılan sayısız araştırma ve denemelere rağmen neden hâlâ bulunamadı?
Son 30 yıldır Alzheimer araştırmalarının büyük çoğunluğu ve tedavi bulma çabaları amiloid hipotezine dayanıyordu.

Ancak bu hipoteze dayanan araştırmaların on yıllar sonra yapılan ilaç denemeleri, büyük ölçüde başarısız oldu. Beyindeki amiloid seviyelerini azaltan ilaçlar bile Alzheimer hastalarının yaşam kalitesini iyileştiremedi.
2024 yılının başında FDA tarafından onaylanan yeni bir Alzheimer ilacı olan lecanemab, deneme katılımcılarının birkaçının ölümüne neden olduğu için güvenliği sorgulandı.
Güvenlik sorunları bir yana, lecanemab bir tedavi olmaktan çok uzaktı. Hastalığın ilerlemesini durdurmadı ve bilişsel gerilemeyi sadece küçük bir miktar azalttı.
Bilimsel bir çıkmazda mıyız?

Hayal kırıklığı yaratan sonuçlar, birçok araştırmacının amiloid hipotezinin yeniden düşünülmesi gerektiğini sorgulamasına yol açtı. Bilim bazen bu tür çıkmazlara girebilir çünkü bilim yavaş, birikimsel bir süreçtir ve genellikle yıllar süren çalışmaların üzerine inşa edilir.
Alzheimer konusunda momentum büyük ölçüde amiloid hipotezine dayanıyor. Diğer süreçlerin örneğin iltihaplanma, önceki enfeksiyonlar veya otoimmün hastalıkların, hastalığın seyri üzerindeki rollerine çok az dikkat edilmiştir.
Yine de amiloid hipotezini tamamen terk etmek mantıklı değil.

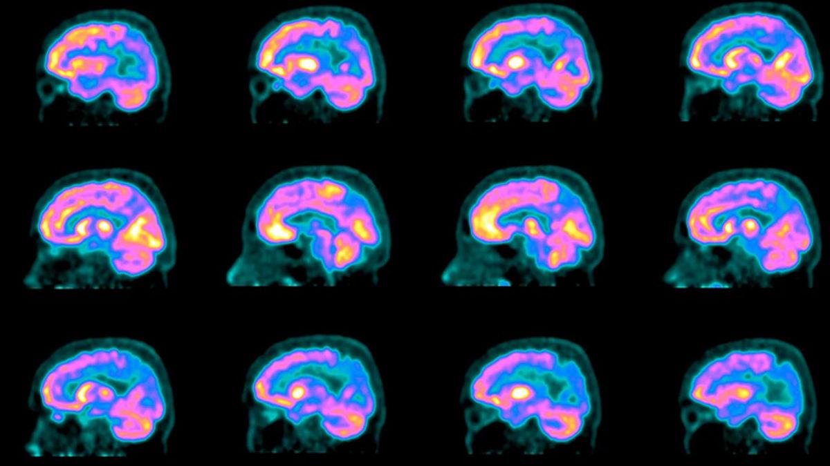
Yeni teknikler, Alzheimer'ı ölümden önce teşhis etmeyi mümkün kılıyor. MR gibi görüntüleme testleri, hafıza kaybının diğer nedenlerini dışlayabilir. Özel PET taramaları beta-amiloid plakları ve tau proteinlerini tespit edebilir.
Araştırmacılar şimdi plakları ve düğümleri yok etmek yerine bunları oluşturan biyolojik yolları araştırıyorlar. Columbia Üniversitesi Alzheimer Hastalığı Araştırma Merkezi direktörü Dr. Scott Small'a göre Alzheimer'da esas olarak neyin yanlış olduğunu tam olarak anlamadığımız için düzeltmek de zorlaşıyor.
Bazı araştırmacılar, Alzheimer'ın bir metabolik bozukluk olabileceğini düşünüyorlar. Beyinde insülin direnci, iltihaplanmaya ve oksidatif strese yol açabilir. Sonunda da amiloid plakları ve Alzheimer'a neden olabilir.


