MR, diğer adıyla MRG (manyetik rezonans görüntüleme), vücutta istenilen bölgelerin ayrıntılı görüntülerini oluşturmak için güçlü mıknatıslardan, radyo dalgalarından ve bilgisayarlardan yararlanılan bir tıbbi görüntüleme tekniği. Massachusetts'ten bilim insanları, bu tekniği kullanarak ilginç bir görüntülemeye imza attılar.
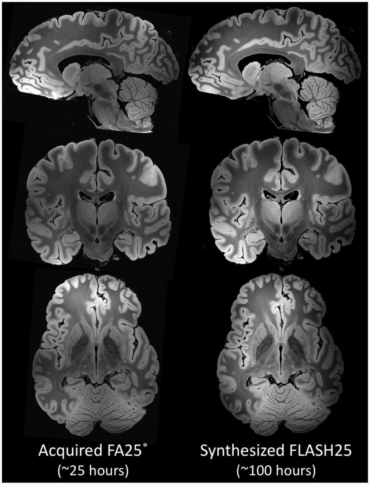
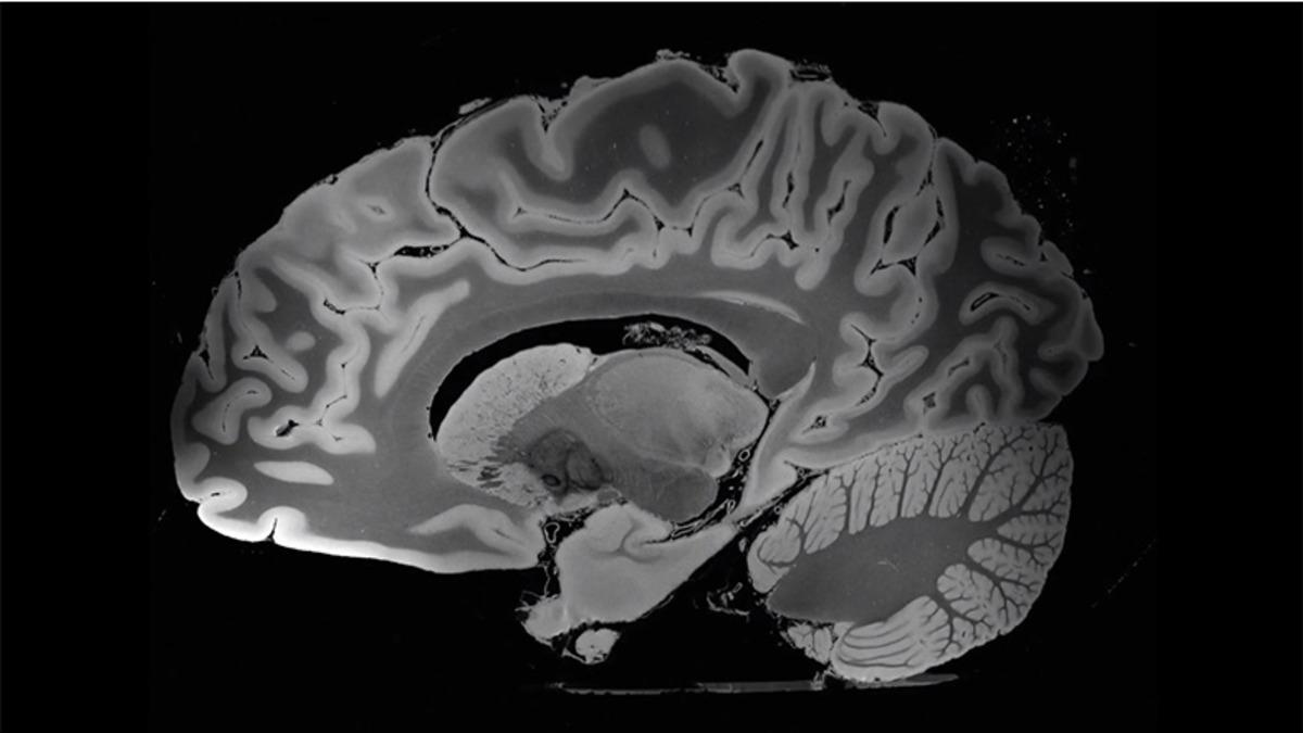
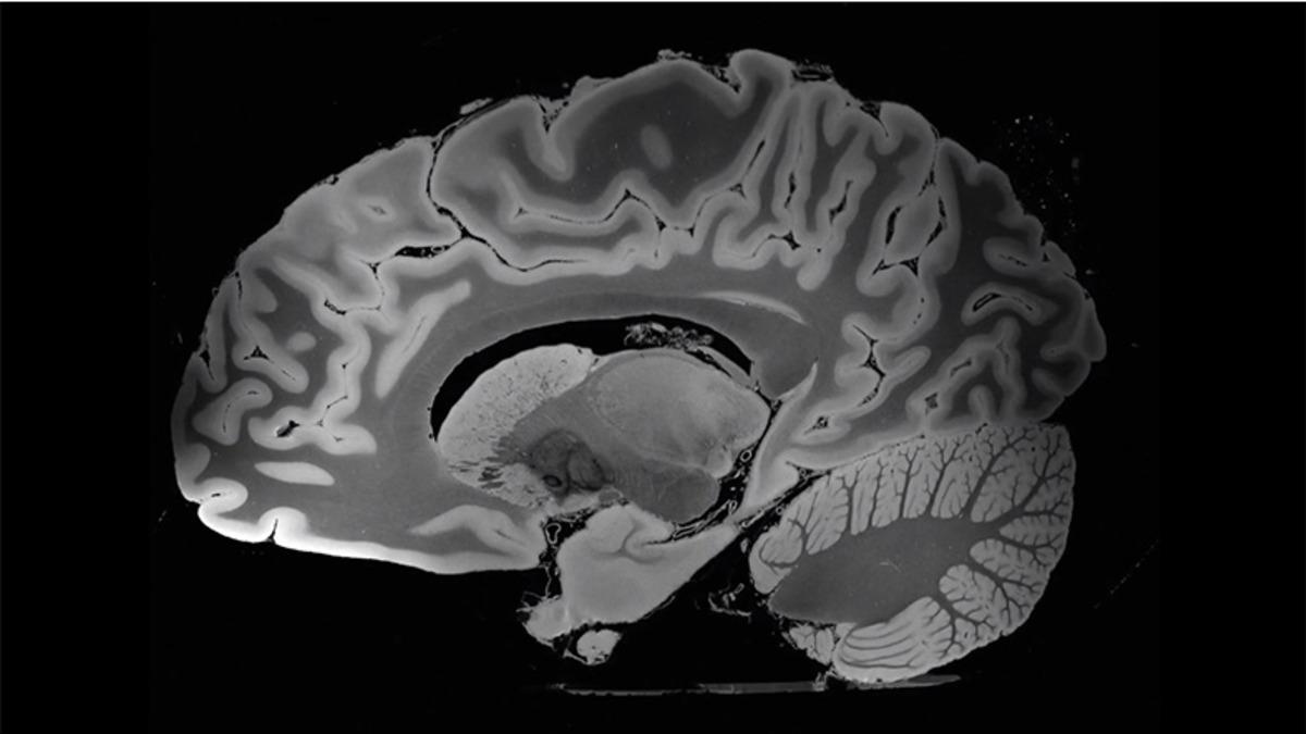
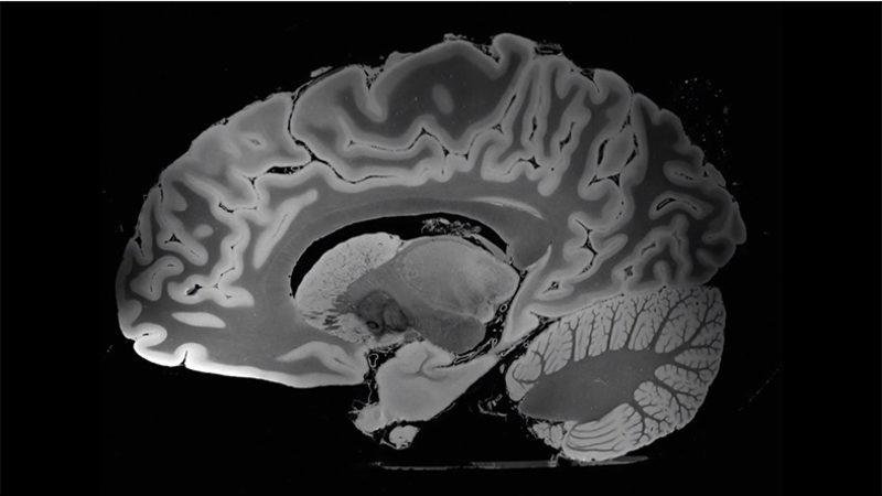
100 saatten fazla süren bir MR taraması, tüm insan beyninin daha önce eşi benzeri görülmemiş derecede ayrıntılı bir görüntüsünü gözler önüne serdi. Massachusetts General Hospital araştırmacıları tarafından yapılan bu çalışmada, 58 yaşında bir kadına ait olan ve bilim için bağışlanmış bir beyni taramak için yakın zamanda FDA tarafından onaylanan ‘7 Tesla MRI’ adındaki MR cihazı kullanıldı. Bu taramadan sonra ortaya çıkan MR görüntüleri ise insan beynini 0,1 milimetreye kadar detaylı bir şekilde gösteriyor.
Science News’te yayınlanan araştırmaya göre beyin taraması başlamadan önce araştırmacılar, beynin hareketsiz durmasını sağlayan ve hava kabarcıklarının ortadan kaybolmasına izin veren özel bir ortam hazırladılar. Taranmaya hazır hâle getirilen beyin, daha sonra ‘7 Tesla MRI’ cihazıyla neredeyse 5 gün boyunca tarandı ve inanılmaz yüksek çözünürlüklü ve üç boyutlu bir beyin MR’ı ortaya çıktı.

Araştırmacılar, insanların 100 saat boyunca MR cihazında durabilecek güce sahip olmaması nedeniyle yaşamaya devam eden insanların beynini incelemek için aynı yöntemi kullanamıyorlar. Diğer yandan ise MR cihazında solunumdan veya kan akışından bile gelen ufak hareketler, MR görüntüsünü bulanıklaştırıyor.
Bu ayrıntılı beyin görüntüleri; komalar ve depresyon gibi bozukluklarda yer alan, görülmesi zor beyin anormalliklerini kesin olarak belirlemeye çalışan araştırmacılar için önemli ipuçları içerebilir.

