Modern tıbbın sunduğu ileri tekniklerle yapılan uzuv uzatma ameliyatı, günümüzde estetik amaçlı da seçilen bir yöntem hâline geldi. Ancak boy uzatma ameliyatının hem fiziksel hem psikolojik açıdan birçok zorluğu var.
Özellikle son dönemlerde internette sıklıkla gördüğümüz bu ameliyatı ele alış amaçlarımızdan biri de ameliyatı düşünen kişilere kapsamlı bir bakış açısı sunmak. İşte, boy uzatma ameliyatı hakkında merak edilen her şey...
En baştan başlayalım: Boy uzatma ameliyatı tam olarak nedir?
Boy uzatma ameliyatı, teknik adıyla "distal femoral osteotomi" veya daha genel bir terimle "kemiklerin uzatılması" operasyonu, bireylerin boyunu cerrahi yöntemlerle artırmayı amaçlayan bir prosedürü ifade ediyor.
Bu ameliyat, özellikle kısa boylu olmanın kişisel veya profesyonel hayatta yarattığı engelleri aşmak isteyen kişiler tarafından tercih ediliyor. Temelde, kemiklerin kesilmesi ve ardından yavaşça uzatılmasını içeren işlem, yeni kemik dokusunun bu boşluğu doldurması ve böylece bireyin boyunun uzaması ilkesine dayanıyor. Uygulama, genellikle bacaklardaki femur (uyluk kemiği) veya tibia (kaval kemiği) üzerinde gerçekleştiriliyor.
Tarihsel olarak bakıldığında, boy uzatma teknikleri ilk kez 20. yüzyılın ortalarında kullanılmaya başlanmış. Gelişen teknoloji ve tıbbi bilgi birikimi ile de bu ameliyatlar günümüzde daha güvenli ve etkili hâle geliyor.
Boy/uzuv uzatma ameliyatı nasıl yapılıyor?
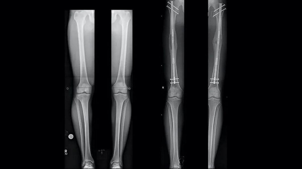
Boy uzatma ameliyatı, oldukça karmaşık ve dikkat gerektiren bir süreç. Ameliyat, genel anestezi altında, uzman bir ortopedik cerrah tarafından gerçekleştiriliyor. Prosedür, temelde iki ana aşamadan oluşuyor: osteotomi (kemik kesimi) ve distraksiyon osteogenezi (kemik uzatma).
Osteotomi

Cerrahın uzatılacak kemik üzerinde dikkatlice kesim yapmasını içeren bu ameliyatta genellikle uyluk kemiği veya kaval kemiği gibi uzun kemiklerin orta kısmında işlem yapılıyor. Yöntem, hastanın ihtiyaçlarına ve ameliyatın hedefine göre de belirleniyor.
Distraksiyon Osteogenezi

Kesim yapıldıktan sonra ise kemik uzatma cihazının kemiklere yerleştirilmesi de distraksiyon osteogeneziyi ifade ediyor. Cihaz genellikle dışarıdan ayarlanabilen bir çerçeve veya içten ayarlanabilen bir çubuk oluyor.
Ameliyattan sonra bu cihazın ayarları düzenli olarak değiştirilerek, kesilen kemik aralığı yavaşça açılıyor. Süreç, yeni kemik dokusunun bu boşluğu doldurması için zaman tanıması için gerekli. Distraksiyon, günde birkaç milimetre olacak şekilde ayarlanıyor ve bu birkaç ay sürebiliyor.
Ameliyat öncesi hastalar, kapsamlı bir değerlendirme sürecinden geçiyor.

Gerek estetik ameliyat olsun gerekse de sağlık amaçlı olsun bu ameliyat öncesi hastanın genel sağlık durumunun yanı sıra kemik yapısına ve ameliyat için uygunluğuna bakılıyor. Özellikle estetik amaçlı yaptıranlar psikolojik bir kontrolden de geçiyor. Ayrıca hastalar; ameliyatın olası riskleri, iyileşme süreci ve beklentileri hakkında bilgilendiriliyor.
Ameliyat sonrası ise hastalar bir süre hastanede kalıyor. Bu da tabii ki hasta ve ameliyat sürecine göre değişiyor. Kemik uzatma süreci başladıktan sonra, hastalar düzenli olarak doktor kontrolüne gidiyor. Bu süreçte, kemik uzatma cihazının ayarları kontrol ediliyor ve gerekirse ayarlamalar yapılıyor.

İyileşme süreci, kişiden kişiye değişiklik gösterse de hastalar genellikle birkaç hafta yürüyemiyor ve bir süre tekerlekli sandalye, koltuk değneği kullanıyor.
Boy uzatma ameliyatının yararları neler?

Boy uzatma ameliyatının bazı potansiyel yararları bulunuyor. Bu yararlar hem fiziksel hem de psikolojik olabiliyor ve ameliyatı düşünen bireyler için önemli motivasyon kaynakları arasında yer alıyor.
Ameliyatın en bariz yararı, bireyin boyunun uzatılabilmesi. Bu artış, genellikle birkaç santimetre ile sınırlı olsa da birçok kişi için büyük bir fark yaratıyor. Bazı durumlarda, boy uzatma ameliyatı vücut proporsiyonlarını düzeltmek için de kullanılıyor. Bacakların orantısız şekilde kısa olduğu durumlarda, bu ameliyat ile daha dengeli bir vücut yapısına kavuşmak mümkün oluyor.

Tabii ki hasta için psikolojik yararları da bulunuyor. Boyunun kısa olmasından kaynaklanan öz güven eksikliği, birçok kişi için ciddi bir sorun. Ameliyat sonrası elde edilen boy artışı, kişilerin kendilerini daha iyi hissetmelerini ve öz güvenlerinin artmasını sağlayabiliyor.
Toplumumuzda boy uzunluğunun çoğu zaman olumlu niteliklerle ilişkilendirildiğini düşündüğümüzde de boy uzatma ameliyatı olan kişiler sosyal etkileşimlerinde veya kişisel ilişkilerinde daha olumlu deneyimler yaşayabiliyor.
Boy uzatma ameliyatının zararları ve riskleri neler?

Ameliyatın karmaşık, iyileşme sürecinin uzun olmasının yanı sıra göze alınması gereken riskler de mevcut. Her cerrahi girişimde enfeksiyon, kanama veya anesteziye bağlı komplikasyonlar olabiliyor. Ancak boy uzatma ameliyatında, kemik uzatma cihazı ile ilgili sorunlar veya kemiklerin beklenen şekilde uzamaması gibi spesifik komplikasyonlar da yaşanabiliyor. Sinir hasarı, eklem veya kaslarda sertlik de boy uzatma ameliyatı riskleri arasında.
Sürecin, önemli ölçüde ağrı ve rahatsızlık yarattığı da bilinen gerçeklerden. Bundan dolayı da hastalar güçlü ağrı kesicilere ihtiyaç duyabiliyor. İyileşme sürecinin genellikle uzun ve zorlu olması da hastaların günlük aktivitelerine ve iş hayatına dönüşünü geciktiriyor.
Boy uzatma ameliyatı oldukça maliyetli.

Cerrahın tecrübesi, ameliyatın yapıldığı ülke ve hastane, kullanılan teknoloji ve malzemelerin yanı sıra ameliyat sonrası gereken fizik tedavi ve takip süreçlerinin uzunluğu maliyeti ciddi anlamda etkileyen faktörler. Boy uzatma ameliyatı fiyatı dünyada 75 bin ila 280 bin Amerikan doları arasında değişiyor.
Türkiye’de boy uzatma ameliyatı fiyatı ise estetik ve sağlık problemi için mi yapılıp yapılmadığına göre değişiklik gösteriyor. Cücelik veya tek bacak kısalığı gibi durumlarda sigorta, birtakım masrafları karşılayabiliyor. Ancak bu da yine durumun ciddiyetine göre değişiyor. Estetik amaçlı boy uzatma ameliyatı ise sağlık sigortası tarafından karşılanmıyor.
Sonuç olarak boy uzatma ameliyatı, herkes için uygun bir seçenek olmayabilir. Bu prosedür, genellikle belli bir yaş aralığındaki, kemik gelişimi tamamlanmış ve genel sağlık durumu uygun olan bireyler için öneriliyor.
Ancak yine de estetik amaçlı bu ameliyatı olmak isteyenlerin kapsamlı bir sağlık değerlendirilmesinden geçmeleri ve bu tür bir operasyonun fiziksel ve psikolojik sonuçlarına hazır olmaları gerekiyor.






