Özellikle çok güçlü bir çarpışma olduğunda baş, ileri geri hareket edebiliyor. Bu ani hareketler, pek çok kişinin önemsemediği gizli bir hasara yol açabiliyor: İç dekapitasyon.
Araba kazalarında gizli bir tehlike olarak karşımıza çıkan bu durum da neyin nesi?
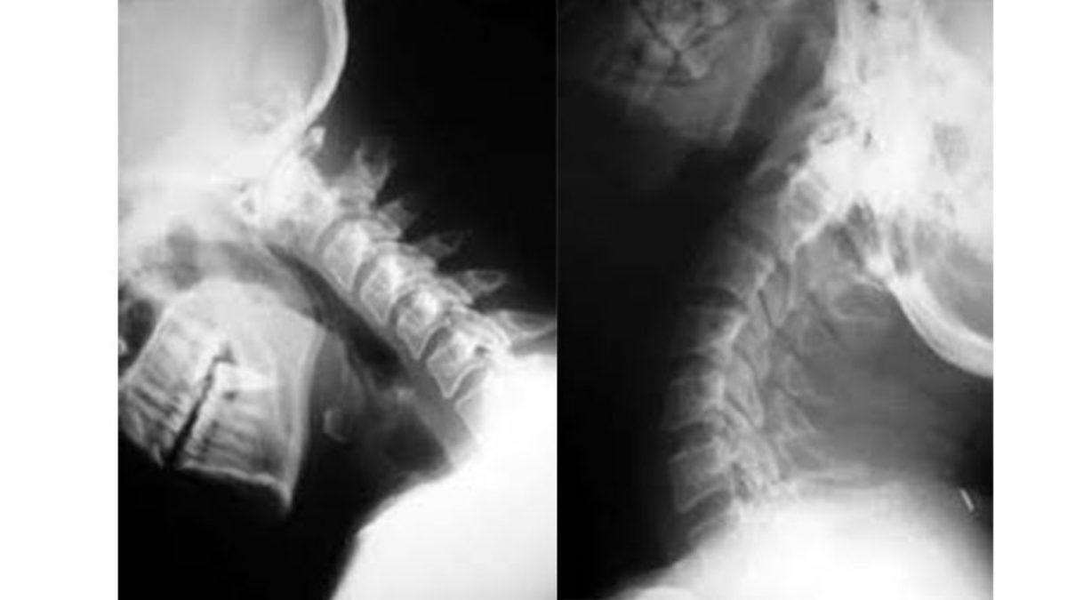
İç dekapitasyon (internal decapitation), tıp literatüründe kraniyoservikal disosiyasyon olarak da biliniyor.

Kafa ile boyun arasında meydana gelen bir yaralanma olan bu durum, hayati bir risk taşıyor. Çünkü böyle bir yaralanmada hayatta kalma olasılığımız maalesef çok düşük. Peki ama niye?
Kafa kemiği ile boyun omurlarını bir arada tutan bağ dokularının yırtılması veya kopması sonucu ortaya çıkan bu durumda, kafa fiziksel olarak vücuttan ayrılmıyor. Daha da kötü bir durum yaşanıyor: Kafa ve boyun arasındaki stabilite bozuluyor.
Dışarıdan bakıldığında her şey normal gibi görünebilir.
Fakat içeride, kafa ve boyun arasındaki bağlar ciddi şekilde zarar gördüğü için, boynun vücutla bağlantısı zayıflar ve omurilik gibi hayati sinir dokuları zarar görebilir. Omurilik ve beyin sapı gibi vücudumuzu kontrol eden yapılar zarar gördüğü için hayatta kalma ihtimali de minimuma düşer.
Ani ve şiddetli hız değişimlerinde, kafanın hızlı bir şekilde ileri-geri hareket etmesiyle ya da başın ani dönmeye maruz kalması hâlinde meydana gelebilecek iç dekapitasyon, çok ciddiye alınması gereken bir durum.
Trafik kurallarına dikkat ederek araç kullanmak, bu tür durumların önüne geçebileceği gibi erken müdahalenin hayat kurtardığını da unutmamamız gerekiyor.



