Doktorlar uzun yıllardır ultrason, MR, tomografi gibi farklı cihazlar yardımıyla hastalarını muayene ediyor ve teşhis koyuyorlar. Bu teknolojiler arasında farklı bir yere sahip olan ultrason, özellikle gebelik gibi hassas durumlarda olan kişiler de bile kullanılan bir teknoloji.
İnsan gözüyle görülemeyecek ve tespit edilemeyecek durum ve sorunların görülmesini sağlayan ultrason, sağlığa dair pek çok farklı şüpheyi gidermek için de kullanılabiliyor. Gebelik dışında farklı iç organ sorunu yaşadığından şüphelenilen hastaları kontrol için de kullanılan ultrason nedir, nasıl çalışır, çeşitleri nelerdir gibi sorulara yanıt verdik.

Ultrason nedir?
1942 yılında Avusturya’da geliştirilen ve tam adı "ultrasonografi" olan ultrason teknolojisi, ses dalgaları ve yankıları ile görselleştirme anlamındadır. İnsanın kulağının duyamayacağı 2 - 8 Mhz frekansında ses dalgaları yollayan ve yankılarla insan vücudu içindeki durumu bir görsele çevirir. Ultrason cihazı ise bu ses dalgalarını gönderen ve alan bir prob, toplanan tüm verileri işleyen bir merkezi bölümden oluşur.
Ultrason cihazı tarafından vücuda verilen ses dalgaları radyasyon içermediği için herhangi bir tehlike arz etmemektedir. Gönderdiği ses dalgalarının frekansı ve ultrason çekme işlemi, doktorların amaçladıkları ölçüme göre değişir ve uygulama sonografi uzmanları tarafından yapılır.
Ultrason nasıl çalışır, süreç nasıl işler?

Hastalar, doktorunuzun tespit etmek istedikleri duruma göre aç, tok, çok su içerek ya da susamış olarak ultrasonuna girerler. Sonografi uzmanı, incelenecek olan bölgenin üzerine, probun rahat hareket etmesi için özel bir jel sürer. Bu jel su bazlıdır, kolayca temizlenir ve herhangi bir zararı yoktur.
Jel sürülen sürdüğü bölge üzerinde probu hareket ettirilir ve ses dalgalarının tüm bölgeye yayılması, yankılanması sağlanır. Bazı durumlarda prob, incelenen bölgeye bastırılır. Herhangi bir zararı olmayan bu hareketin nedeni, ses dalgalarının şüphe duyulan noktaya tam olarak isabet etmesi ve geri tepmesi ile doğru bir görsel elde etme çabasıdır.
İnceleme sonucu cihazın merkezi işleme ünitesinden siyah beyaz, renkli ya da hareketli bir görüntü alınır. Elde edilen görüntünün raporu uzman tarafından yazılır ve incelemeyi isteyen doktora gösterilir. Rapor, doktor tarafından incelenir ve herhangi bir sorun olup olmadığı tespit edilerek gerek görülürse bir tedavi uygulanır.
Ultrason çeşitleri:
- 2 boyutlu ultrason
- Detaylı ultrason
- 3 ya da 4 boyutlu ultrason
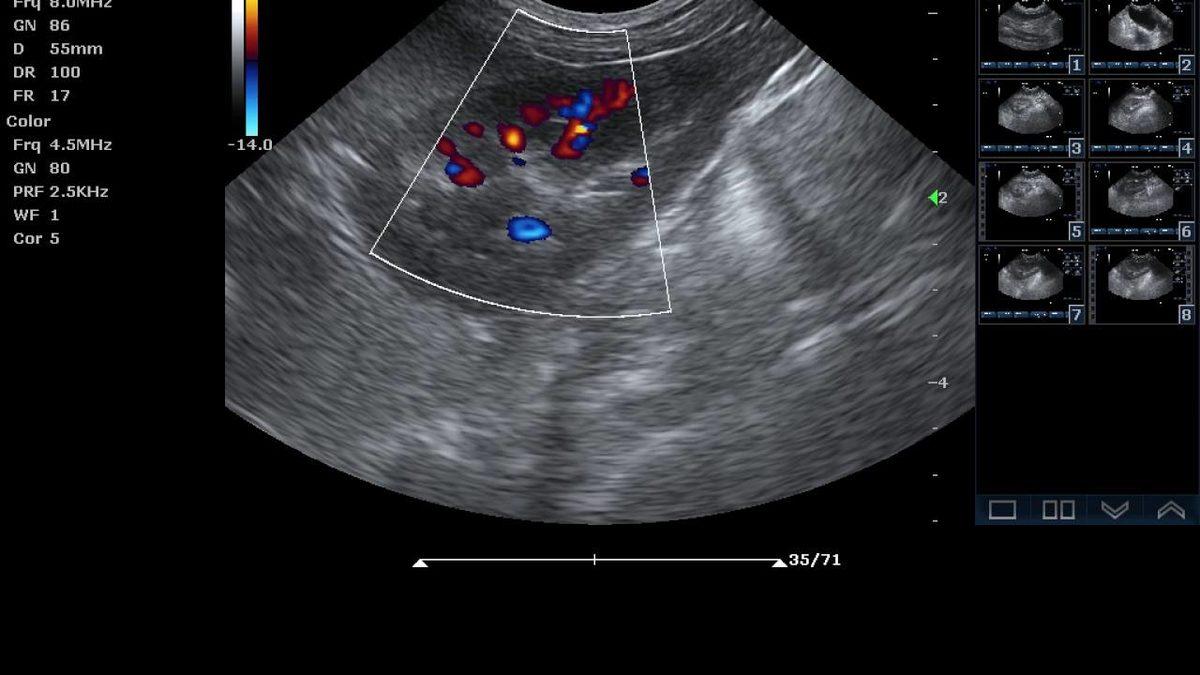
- Renkli ultrason
- Dahili ultrason
2 boyutlu ultrason:

2 boyutlu ya da diğer adıyla obsetrik ultrason, gebe kadınlarda standart kontroller sırasında kullanılan bir ultrason türüdür. Hamileliğin herhangi bir döneminde yaptırılabilen 2 boyutlu görüntü elde edilen bu yönteme genel olarak 16. haftadan sonra başlanır. 2 boyutlu ultrason ile genel duruma bakılır, bebeğin kalbi dinlenir hatta cinsiyet tespiti bile yapılabilir.
Detaylı ultrason:

Detaylı, ayrıntılı ultrason gebe kadınlarda bebeğin vücut ve organ gelişimini takip etmek için sıklıkla kullanılan bir ultrason türüdür. Detaylı görüntü elde edilen bu işlemde bebeğin beyin, kafatası, omurga, kalp, mide, böbrek, bağırsak, göğüs içi organlar gibi hayati öneme sahip organlarının gelişimi ve plasenta kontrol edilir. Herhangi bir sorun tespit edilirse şüphenin giderilmesi için farklı testler istenebilir.
3 ya da 4 boyutlu ultrason:

Gebe kadınlara bebek dış yüzeyinde önemli bir sorun tespit edilmeden 3 ya da 4 boyutlu ultrason uygulanmaz. Ancak doğuma kadar sabredemeyen aileler, bebeklerinin elini, kolunu, ayağını, bacağını, yüzünü hatta gülüşünü görmek için bu ultrason türünü isteyebilirler. Bu ultrason türü ile bebeğin cinsiyeti de kolayca tespit edilebilir. Ancak zorunlu bir işlem olmadığı için diğer ultrason çeşitlerine göre uygulaması daha pahalı bir türdür.
Renkli ultrason:

Renkli ya da diğer adıyla doppler ultrason, genel olarak riskli bir gebelik geçiren anne adaylarına ya da kan dolaşımı ile ilgili şüphe duyulan hastalara uygulanır. Renkli ultrason, kan akışını ve plasentayı kontrol eder. Görüntüdeki renkler gerçeği yansıtmaz. Görünen renkler kan akışının proba yaklaşması ve uzaklaşması ile değişmektedir. Zorunlu bir işlem değildir, doktorlar tarafından riskli bir durumdan şüphelenildiği zaman özel olarak istenir.
Dahili ultrason:

Dahili ultrason, prob ile dışarıdan görülmeyecek durumların tespiti için hastanın iç bölgesine bir aparat yerleştirilerek gerçekleştirilen ultrason yöntemidir. Vajina içine, rektum içine ya da yemek borusu içine gönderilen bir dönüştürücü ile bu bölgeye ses dalgaları yollanır ve geri tepme aynı şekilde merkezi işlem ünitesinde görüntüye dönüştürülür. Gebe kadınlarda hamileliğin ilk aylarında uygulanabilir ancak zorunlu bir işlem değildir.
Ultrason hangi durumlarda kullanılır?
- Gebe kadınlarda bebeğin sağlık durumunu öğrenmek ve gelişimini takip etmek için kullanılır.
- Safra kesesinde bulunan taşların ve buna bağlı hastalıkların tespiti için kullanılır.
- Kalpte şüphe duyulan herhangi bir işlev bozukluğunu tespit etmek için kullanılır.
- Prostat ve genital bölgede oluşabilecek hastalıkların tespit ve incelemesi için kullanılır.
- Meme ve vücudun farklı yumuşak noktalarındaki olası tümörlerin araştırılması için kullanılır.
- Vücudun farklı noktalarında oluşan enfeksiyonları araştırmak için kullanılır.
- Tiroit bezi kaynaklı hastalıkların inceleme ve araştırması için kullanılır.
- Kas hastalıkları ile ilgili yapılan incelemeler için kullanılır.
- Kist ve biyopsi tedavilerinde iğne ile yapılan işlemlerin görüntülenmesini sağlamak için kullanılır.

Yukarıdaki durumlar genel olarak farklı türdeki ultrasonların kullanıldığı durumlardır. Elbette farklı sorunlar ve rahatsızlıkların tespiti için de ultrason kullanıldığı durumlar ya da yukarıdaki durumlar için ultrason kullanılmadığı zamanlar vardır. Doktorunuzun yönlendirmesi ile bu işlemin gereği olup olmadığı ortaya çıkacaktır.
Özellikle gebe kadınlarda ve iç organlarında sorun olduğu şüphesi olan hastalarda kullanılan ultrason nedir, nasıl çalışır, çeşitleri nelerdir gibi merak edilen soruları sizin için yanıtladık. Doktorunuzun yönlendirmesi ile ultrason gibi cihazların kullanılması sırasında içiniz rahat olsun, doktorunuza güvenmeniz yeterli olacaktır.
