Sürtünmeden oluşan deri tahribatları, darbeden kaynaklanan kemik kırıkları, vücudumuzda en sık görülen yaralanma biçimlerinden bazıları desek yanlış olmaz. Vücudumuzun tahribata müsait bir başka kısmı ise dişlerimiz.
Dişlerin dışında bahsini geçirdiğimiz iki yaralanma türü de kendi kendini iyileştirebiliyor çünkü hasarlı dokuyu yenileyebilen ve onarabilen canlı hücrelere sahipler. Ancak dişler, vücudun diğer kısımlarından çeşitli şekillerde farklıdır ve aynı şekilde kendi kendilerini iyileştiremezler.
İçerikten Görseller
Bu anlaşılması güç olayın nedeni, dişlerimizin yapısı ve bileşiminde yatıyor:

Dişlerimiz dört katmandan oluşuyor: Mine (dişin yüzeyini kaplayan sert kalsiyumlu madde), dentin (diş kemiği), pulpa (diş özü/siniri) ve sementum (diş kökünü saran kemiksi doku). Mine, dişleri aşınma ve yıpranmaya karşı koruyan sert, parlak dış katmandır. Dentin, diş minesinin altında bulunan ve dişe şeklini veren daha yumuşak tabakadır. Pulpa, dişlere besin ve his sağlayan kan damarları ve sinirleri içeren en içteki tabakadır. Sementum, dişlerimizin köklerini kaplayan ve onları çene kemiğimize sabitleyen ince tabakadır.
Mine, vücudumuzdaki en sert maddedir. Aynı zamanda en mineralize madde olma özelliğini de taşıyor, yani yüksek oranda kalsiyum ve fosfat gibi inorganik maddeler içeriyor. Bu durum, mineyi çok güçlü ve çürümeye karşı dirençli kılıyor ancak handikabı ise çok kırılgan ve çatlamaya eğilimli hale getiriyor. Mine ayrıca iyileşme ve yenilenme için gerekli olan canlı hücreler ve proteinlerden de yoksun. Bu nedenle mine bir kez hasar gördüğünde vücut tarafından onarılamaz.

Dentin ise mineye göre daha yumuşak ve organik bir yapıya sahip. Odontoblast adı verilen ve insan yaşamı boyunca yeni dentin üreten canlı hücreler içeriyor. Dentinin ayrıca çeşitli proteinler ve su içermesi, onu mineden daha esnek ve dayanıklı yapıyor ancak yine de kendi kendini onarma konusunda vücuttaki diğer dokular kadar becerikli değil. Dişlerimizin bu parçası sadece küçük çatlakları veya boşlukları doldurmak için az miktarda yeni materyal üretebiliyor, ancak dişimizin orijinal şeklini veya işlevini geri getiremiyor.
Pulpa ve sement, iyileşme yeteneği açısından vücudumuzdaki diğer dokulara daha çok benzer yapıdalar.
Pulpa; odontoblastlar, sinir hücreleri veya kan damarları gibi çeşitli hücre türlerine farklılaşabilen kök hücreler içeriyor ve ayrıca enfeksiyon veya yaralanmayla savaşmak için bir bağışıklık tepkisini tetikleyen iltihaplı moleküller de üretebiliyor.
Sementum ise dişlerinizin köklerindeki küçük hasarları onarmak için yeni sementum üretebilen sementoblast adı verilen hücreler içeriyor. Ancak pulpa ve sementum, çoğunlukla mine veya dentinde onları açığa çıkaran ciddi bir hasar olmadığı sürece genellikle dış ortama maruz kalmazlar. Böyle bir durumda da pulpa ve sementum iltihaplı hale gelerek ağrı ve hassasiyete neden olabilir.
Peki bu kadar sağlam olmasına rağmen iyileşme yetisi olmayan dişlerimizi nasıl koruyabiliriz?

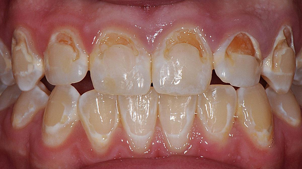
Diş çürümesine ağızda yaşayan ve yiyeceklerdeki şeker ve nişastalarla beslenen bakteriler neden olur. Bu bakteriler diş minesini ve dentini aşındıran asitler üreterek dişlerinizde delikler veya boşluklar oluşturur. Tedavi edilmezse, diş çürüğü ağrıya, enfeksiyona, diş kaybına ve hatta sistemik sağlık sorunlarına yol açabilir.
Bunu, yani diş çürümesini önlemenin en iyi yolu, dişlerinizi günde iki kez florürlü diş macunu ile fırçalamak, her gün diş ipi kullanmak, ağız gargarası ile çalkalamak ve diş hekiminizi düzenli olarak kontrol ve temizlik için ziyaret etmek gibi iyi ağız hijyeni alışkanlıklarını uygulamaktır. Dişlerinizi kırılmadan korumanın yolu da spor yaparken veya ağzınızda travmaya neden olabilecek aktiviteler yaparken ağızlık takmak.
(Ayrıca şeker, soda, meyve suyu, kahve ve şarap gibi şekerli ve asitli yiyecek ve içecek alımınızı da sınırlandırmalısınız. Bu yiyecek ve içecekler diş minenizi zayıflatabilir ve çürümeye daha yatkın hale getirebilir. Bunun yerine, peynir, yoğurt, süt, fındık, meyve, sebze ve su gibi dişleriniz için iyi olan gıdaları içeren dengeli bir beslenme alışkanlığı edinmelisiniz.)

Dişlerimiz çiğneme, konuşma, gülümseme ve kişiliğinizi ifade etme gibi birçok işleve hizmet eden vücudunuzun eşsiz ve yeri doldurulamaz parçalarıdır. Bu nedenle onlara iyi bakmalı ve zarar görmelerini önlememiz çok önemli. Bahsettiğimiz tavsiyeler sadece başlangıç, daha iyi bir diş bakımı için kesinlikle bir profesyonele, yani dişçiye danışmayı ihmal etmeyin. Gülümsemeleriniz güzel olsun!
Kaynaklar: Sciencenorway, NIH, Exquisite Dentistry


