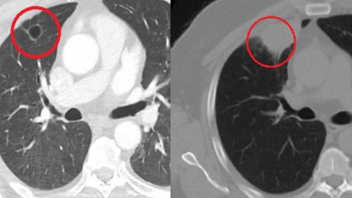
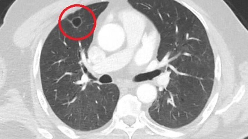
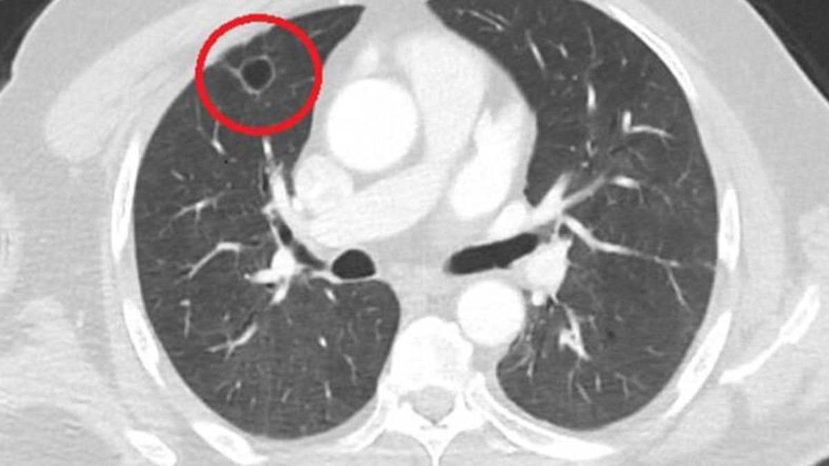
Göğüs ağrısı şikayeti ile hastaneye giden N.T.'nin burada çekilen tomografi sonrası sağ akciğerinde 4 cm çapında bir tümör tespit edildi. Akciğer kanseri şüphesi ile yapılan ileri tetkikler sonrası hastaya akciğer kanseri teşhisi kondu. Tedavisine memleketi Kahramanmaraş'ta devam etmek isteyen N.T., ameliyat için Sütçü İmam Üniversitesi Sağlık Uygulama ve Araştırma Hastanesi'ne gitti.
Sütçü İmam Üniversitesi Sağlık Uygulama ve Araştırma Hastanesi Göğüs Cerrahi Anabilim Dalı Öğretim Üyesi Dr. Fatoş Kozanlı da hasta için tomografi ve testler sonrası akciğer kanseri teşhisi koydu ve ameliyat gerektiğini söyledi. Gireceği operasyon öncesi PCR testi yapılan N.T.'nin testi pozitif çıktı ve COVID-19 tedavisi için ameliyat 14 gün ertelendi. Tedavi sürecinden sonra PCR testi negatif çıkan N.T. ameliyata alınmadan önce yeniden çekilen tomografide akciğerdeki tümörün tamamen yok olduğu tespit edildi.
Hastayı takip eden Kozanlı da sonucun şaşırtıcı olduğunu ifade ediyor:

Kozanlı hastanın durumunu "Hastamız, çalıştığı başka bir kentte göğsünden darbe alıyor ve ağrıları geçmeyince bir üniversite hastanesine başvuruyor. Burada hastaya bir akciğer grafisi çekiliyor. Sağ akciğerinde bir kitleye rastlanıyor. Daha sonra hastaya, bir akciğer tomografisi çekiliyor ve göğüs cerrahisi için önemli büyüklükte olan 4 santimetre çapında, akciğer kanserine benzer özellikte radyolojik bulgular olan bir kitle tespit ediliyor. Daha sonra hastaya yapılan ileri tetkiklerde akciğer kanseri teşhisi konuluyor. Hastaya bir cerrahi planlanıyor. Hasta Kahramanmaraşlı olduğu için kendi memleketine gelmeyi tercih ediyor. Bize başvurdu ve göğüs ağrısı şikayeti vardı. Öksürük, nefes darlığı, balgam çıkarma, ateş gibi şikayetleri yoktu. Hastayı biz de değerlendirdik ve ameliyat olmasına karar verdik. Çünkü akciğer kanserine çok benzer radyolojik bulguları vardı. Sağlık Bakanlığımızın kuralları gereği her hastayı ameliyat öncesi PCR testi yapılır. Biz de ameliyat gecesi hastadan PCR testi aldık ve testi pozitif geldi. Ameliyatımızı 14 gün erteledik ve hastamıza koronavirüs tedavisi uygulandı. Hasta 14'üncü gün tekrar bize başvurdu ve yapılan PCR testi negatif çıktı. Yeni bir tomografi çektik ve tümörün tamamen ortadan kalktığını gördük. Şimdi sonuç bilgilerinden başlangıca gittiğimizde, bu bir akciğer kanseri olsaydı, ortadan kalkması mümkün değildi. Başka bir patolojiye bağlı durum olsaydı, yine verdiğimiz tedaviyle ortadan kalkmasını çok beklemeyiz. Antiviral tedavisi verdik ve hastanın radyolojik bulguları neredeyse tamamen normale döndü. Hastaya bunu izah ettik, 'Dünya literatüründe hiç görülmeyen bir radyolojik bulgu' diyerek. Bu gördüğümüz manzara artık hastanın akciğer grafisinde yok, akciğer kanseri değil'' sözleriyle açıklarken varılan sonucun şaşırtıcı olduğunu ifade ediyor.
'Dünya tıp literatüründe benzer bir vakaya rastlamadım':

Hastanın öyküsünü baştan sona incelediğinde koronavirüsün akciğer kanserini taklit ettiği sonucuna ulaştığını ifade eden Kozanlı, bu türden bir vakanın bir ilk olduğunu belirterek durumu "Genel olarak dünya literatürüne baktığımızda koronavirüsün akciğer bulguları, radyolojik bulguları infiltrasyon, buzlu cam dansitesi gibi bilinen bulgular. Ama bizim hastamızda akciğer tümörünü taklit eden bir kitle vardı. Ve biz bunu dünya literatüründe hiç görmemiştik. Bununla ilgili geniş çaplı bir araştırma yaptım. Hem kendi deneyimlerimden hem kendi hastanemizde yatan hastalardan yola çıkarak birçok hastanın radyolojik bulgularına baktık. Dünya literatürlerini karıştırdım, diğer arkadaşlarıma danıştım, benzeri bulguya rastlamadım" sözleriyle açıklıyor.
