Bu üzücü olay ile alakalı New England Journal of Medicine‘de yayınlanan rapora göre; göz merceğinin en yüksek yoğunluğa sahip olduğu ve merkezi görme yetisinden sorumlu olan, gözün iç arka yüzeyinin ortasında bulunan makulada hasar oluştu.

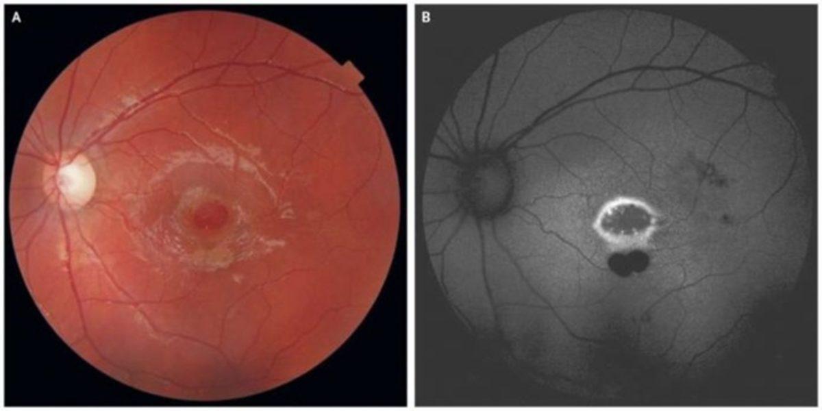
Ailesi, çocuğun görme yetisinde bir azalma olduğunu anlayınca küçük çocuğu ilk olarak Teselya Üniversitesi Oftalmoloji Kliniği’ne götürdü. Yapılan ilk muayenede gözde büyük bir kesik bulunduğu belirlendi. Ardından gelişmiş görüntüleme teknikleriyle incelendiğinde ise, lazer ışığının, makulanın bütün katmanlarına nüfuz ettiği ve çevresindeki dokunun büyük ölçüde kurumasına sebep olduğu saptandı. Ayrıca, deliğin hemen altında da iki küçük retina hasarı tespit edildi.

İlk görme testi, etkilenmemiş olan sağ gözünün 20/20 olduğunu, fakat solun 20/100 olduğunu ortaya çıkardı. Bu, 'çocuğun 6 metre uzaklıkta bulunan bir nesneyi görme kapasitesinin, sağlıklı bir insanın aynı nesneyi 100 metre uzaklıktan görme kapasitesine eşit olması' demek. Uzmanlar yayınladıkları raporda: “Hastanın görüşü 18 ay boyunca değişmeden kalmıştır” diye belirttiler.

Maalesef, ışığı elektrik sinyallerine dönüştüren özel fotoreseptörler ve bu bilgiyi beyne aktaran komşu nöronlar, böylesi bir hasarın ardından yenilenemez. Ve söz konusu hücreler öldükten sonra, görme yetisini geri kazandırabilecek herhangi bir tıbbi müdahale de mevcut değildir.

Dokularda daha fazla hasarın oluştuğu ve yeni gerçekleşmiş makula travması vakalarında, doktorlar vitrektomi olarak bilinen bir müdahalenin birkaç çeşidini gerçekleştirebilirler. Yine de vitrektomi operasyonu geçiren hastalarda katarakt gelişimi sıklıkla görülmektedir. Bu da görme yetisini daha da kötüleştirir.
Makalenin başyazarı Dr. Sofia Androudi, çocuğun büyük olasılıkla rahatsızlığını sakladığını ve uzun müddet kimseye söylemediğini ifade etti. Dr. Androudi CNN’e yaptığı açıklamada, çocuğun, oyuncağı bir sokak satıcısından satın aldıktan sonra birkaç defa doğrudan kendi gözüne tuttuğunu itiraf ettiğini söyledi.
Lazer oyuncaklardaki yoğun enerji retina dokusunu hızla öldürebilir! Amerikan Oftalmoloji Akademisi’nin klinik sözcüsü Dr. Ajay Kuriyan: “Yüksek frekanslı ışınları emen hücreler hızla genişleyebilir ve akabinde de çökebilir. Böyle bir durum, zararlı bir şok dalgasına sebep olur. Lazerin yarattığı ısı ise tıpkı bir büyütecin güneş ışınlarını bir araya toplayıp kağıdı yakması gibi, doku hücrelerinin yanmasına sebep olur” dedi.

Sonuç olarak: Bir lazer pointerınız varsa, hem kendinizin hem de başkalarının gözlerinden uzak tutunuz.
