Uzayda zaman geçirmek, insanları değiştiriyor. Yalnızca hayatlarını değil, görme yetileri veya göz şekli gibi fiziksel durumları da…
Astronotlar, uzayda bir süre kaldıktan sonra görme yetileri azalabiliyor. Mesela Astronot Michael Barratt, uzaydan döndükten sonra bazı şeyleri okumakta zorlanmıştı. Peki bunun sebebi ne?
İçerikten Görseller
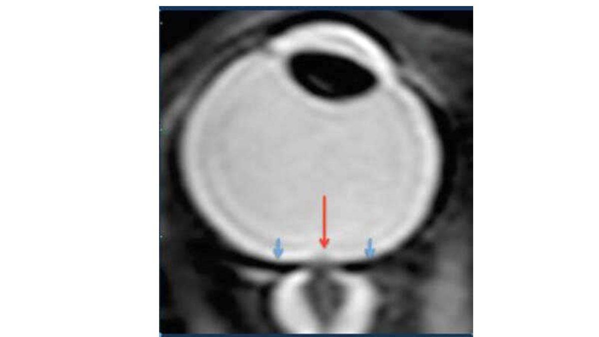
Astronotların göz bebeklerinin şekli ve göz yetileri değişebiliyor.

Astronot Michael Bratt’ın gözünü yukarıdaki görselde görebilirsiniz. Uzayda 6 ay kaldıktan sonra bazı şekil değişiklikleri var. Hatta Barratt, kendi sözleriyle şöyle diyor: “Bu, uzaydaki insanların büyük bir yüzdesini etkileyen tıbbî bir problem.”
Beyinlerindeki sıvının etkisi var.
Astronotlar uzaya gittiklerinde, normalde kalplerinin altında olan sıvı, kafalarına da gidiyor. Dünya’da yer çekimi sıvıları aşağı çekerken, uzayda bu etki ortadan kalkıyor.
Bu durum ise gözler dahil kafa bölgesinde basınç artışına ve buna bağlı olarak optik sinire baskı yapıp göz problemlerine, göz küresinin düzleşmesine ve retina üzerinde baskıyla görme kaybına/görme bulanıklığına yol açabiliyor.
Doktor Benjamin Levine; bu sıvının ve basıncın göz bebeklerini nasıl etkilediğini öğrenmek için bir deney yaptı ve şu sonuçlara ulaştı:

Bizim aksimize astronotların beyinlerini düşük basınç altında dinlenemiyor. Sıfır yer çekiminde ayakta durduklarında, sıvı kafalarında kalıyor. Bu hafif basıncın, gözün şeklinin değişmesine ve görme bozukluğuna yol açan şey olabilir. Bu yüzden astronotların beynini dinlendirmenin bir yolunu aranıyor.
Dr. Levine: "Geceleri giyebileceğiniz, kan ve sıvıyı ayaklara çekebileceğiniz ve uyurken kalbi ve beyni boşaltabileceğiniz, neredeyse bir uyku tulumu veya pantolon gibi yumuşak ama rahat bir kıyafet şirketi bulmak için UnderArmour ile çalışıyoruz.”




