Çiçek aşısı bulunduğunda aşı karşıtları inek-insan melezi yeni bir türün ortaya çıkacağını iddia ettiler fakat bu aşı sayesinde on milyonlarca insanın hayatı kurtuldu. Günümüzde değişen tek şey ise yeni komplo hikayelerinin uydurulması oldu.
Bir örnek vermek gerekirse; Aşık Veysel çiçek hastalığı nedeniyle gözlerini kaybetti, 3 kardeşini de hastalık nedeniyle toprağa verdi. Oysa aşı olabilseydi karanlık bir hayatı olmayacaktı. Günümüzde ise korona nedeniyle aşılanmayan insanların ve onların yakınlarının hayatları kararıyor.
Bir doktorun paylaştığı tablo. Aşı olmayan onlarca genç hasta yoğun bakımda.

İşte her gün böyle 300'e yakın vatandaşımızı kaybediyoruz ve büyük kısmı aşısız olanlar. 4. dalganın içerisindeyiz fakat işin ciddiyeti hâlâ anlaşılabilmiş değil.
Kanada'daki bir hemşire de bu durumdan yakınıyor:

"Hastanede dün yoğun bakım ünitesinde çalışan bir meslektaşıma aşı karşıtları tarafından katil damgası vuruldu. Üstelik bu olay, yaşam mücadelesi veren bir diğer aşı karşıtı hastanın dışkısını, balgamını ve kanlı çarşafını temizledikten sonra gerçekleşti."
İşte bu tip durumlar bilgisizlik nedeniyle çok fazla yaşanıyor ve gerek ülkemizde gerek dünyada aşı karşıtlığının yarattığı etki nedeniyle insanlar hastalığa yakalanıp ölüyor maalesef. İşte bu duruma kurban giden bazı insanlar:
Lale Duran, babasının belirttiğine göre sosyal medyadaki aşı karşıtı söylemlere kanarak aşı olmak istemedi ve genç yaşta korona nedeniyle hayata gözlerini yumdu.

Babası Sefer Duran ise hastanede 8 gün yattıktan sonra hastalığı atlattı fakat Lale ne yazık ki kurtarılamadı.
Sosyal medya hesabından aşı karşıtı paylaşımlar yapan antrenör Hüsnü Mutlu da hastalığa yakalanarak hayatını kaybetti.

Paylaşımlarında, aşı yaptıran kişilere "kobay" ve "mal" diye hitap ettiği ortaya çıkmıştı.

Eczacı Cemile Berra Tüfekçibaşı ise "COVID-19 aşısı 2 yıl sonra öldürüyor, sakın aşı olmayın!" dedikten 1 hafta sonra COVID-19 nedeniyle hayatını kaybetti.

"Aşı olmayan kaç kişi kaldık?" paylaşımı yapan bir Twitter kullanıcısı da COVID-19 nedeniyle hayatını kaybetti.

Özel bir hastanede ortopedi doktoru olan Hasan Feyzi Katıöz de koronavirüse yenik düşenler arasında.

O da aşı yaptırmayanlardan biriydi.
Aynı aileden aşısız 3 kişi, 3 gün içinde maalesef koronavirüsten öldü.

Mustafa Altıntaş 35, annesi Hamide Altıntaş 67, anneannesi Ayşe Yılmaz ise 84 yaşındaydı.
Kocaeli'de görevli Doktor Kenan Alioğlu da, COVID-19 nedeniyle tedavi gördüğü hastanede yaşamını yitirdi.

Meslektaşları ısrar etmesine rağmen, 43 yaşındaki Alioğlu aşı olmamıştı.
Nevşehir Devlet Hastanesi'nde laboratuvar teknisyeni olan ve aşısını yaptırmayan 50 yaşındaki Yılmaz Çiçek de COVID-19 nedeniyle yaşamını yitirdi.

Aşısız doktor Murat Tad ise hastalık nedeniyle ölmeden önce yakın çevresine "Hastalık yok, aşı emperyalist oyun" demiş.

49 yaşındaydı.
Kadın hastalıkları uzmanı İlhami Atılgan da aşı olmayı tercih etmemişti, 55 yaşında COVID-19'a yenik düştü.

Hastalık nedeniyle vefat eden hemşire Kezban Gürsoy da aşı yaptırmak istemeyen bir sağlık çalışanıydı.

2021 yılında sadece Ankara'da COVID-19 nedeniyle 12 hamile kadın hayatını kaybetti. Hepsi de aşısızdı.

Ankara İl Sağlık Müdürü Zülfikar Akelma, "İçimizi yakan durumlar bunlar. Bu anneler, genç anneler. Hepsi aşısız grup. Mutlaka hamilelerin aşı olması gerekir. Gebelerin aşı olmasının bebeğine herhangi bir zararı yok" diyerek uyarıda bulundu.
Ve bu gibi acı örnekler ne yazık ki her yerde yaşanıyor.


Doğal olarak dünyada da örnekleri görülüyor. Kendini "sağcı, dini fanatik" olarak nitelendiren ABD'li bir radyo sunucusu ve papaz olan Bob Enyart da aynı nedenden dolayı hayatını kaybetti.

Enyart, programında aşı boykotu çağrısında bulunmuştu.
Aşı karşıtı hemşire Olivia Guidry henüz 24 yaşındaydı. İnanmadığı bir hastalık nedeniyle öldü.

Son olarak bu tweet'leri yazmıştı: "Bizi ne kadar kontrol edebileceklerini görmeye çalıştıklarını düşünen bir tek ben miyim? Biz bir sosyal deneyin parçasıyız." "Corona testleri sahte, bana yapmayın."

1.6 milyon takipçisi olan 36 yaşındaki ünlü YouTuber Brandon Ashur da COVID-19'dan öldü.

Aşı olmadığı belirtilen Ashur son paylaşımlarından birinde "Lütfen aşınızı olun, bunu yaşamak istemezsiniz" demişti.
ABD'de koronavirüs önlemleri ve maske karşıtı protestolara öncülük eden Caleb Wallace ise, koronavirüs nedeniyle hastaneye yatırıldıktan bir ay sonra öldü.

ABD'de aşı yaptırmayan 42 yaşındaki 4 çocuk annesi Lydia Rodriguez'in ölmeden önce söylediği son sözlerden biri "Lütfen çocuklarımın aşı olmasını sağlayın." oldu.

Eşiyle birlikte hayatını kaybettiler.
ABD'den bir diğer benzer ölüm: Cumhuriyetçi lider Pressley Stutts, maskenin bir illüzyon olduğuna inanıyordu.

Koronavirüs hakkındaki komplo teorilerini yayıyordu fakat COVID-19 nedeniyle öldü.
Sosyal medyada aşı karşıtı paylaşımlar yapan bir gece kulübü patronu adam da koronavirüs nedeniyle hayatını kaybetti.

David Parker'ın ailesi, adamın ölümünün ardından insanları aşı yaptırmaya çağırdı.
Hastalığın varlığını inkar eden Norveçli komplo teorisyeni Hans Kristian Gaarder, yasadışı ev partilerine ev sahipliği yaptıktan sonra virüsten öldü.

58 yaşındaki Leslie Lawrenson, aşıların deneysel olduğunu düşünüyordu. Virüsü kapmasının arından semptomları da hafife alınca evinde hayatını kaybetti.

Radyocu ve televizyoncu Dick Farrel, aşı kampanyası düzenleyen doktorlara düşmanlığıyla tanınan bir aşırı sağcıydı.

Hastaneye kaldırıldıktan sonra aşılar hakkındaki fikrini değiştirdi ve son sözlerinden biri "Keşke yaptırsaydım." oldu.
34 yaşındaki Stephen Harmon, sosyal medyada aşılarla dalga geçiyordu ve iman gücünün kendisini hastalıktan koruyacağına inanıyordu.

Koruyamadı.
Dr. Stephen Karanja ise, COVID-19'a karşı aşılamanın gereksiz olduğunu savunmuş ve onun yerine hidroksiklorin ile çinko önermişti.

Oysa gereksiz dediği şey sayesinde şu an yaşıyor olabilirdi.
Kendisine "Bay Aşı Karşıtı" şeklinde hitap edilmesini istiyordu radyocu Marc Bernier.

"Korona Nedeniyle Hayatını Kaybeden Bay Aşı Karşıtı" sıfatıyla anılan biri olarak akıllara kazındı.
Bir TikTok kullanıcısı ise yoğun bakıma alındıktan sonra, aşı yaptırmadığı için pişmanlığını dile getirdiği bir videoyu takipçileriyle paylaştı ve birkaç gün sonra hayatını kaybetti.

Megan Alexandra Blankenbiller, aynı hatayı yapmamaları için herkese yalvardı. Hastanedeki son günlerini başkalarının aynı hatadan kaçınmasına yardım etmeye çalışarak geçirdi. Aşılara karşı değildi fakat fazla şüpheciydi.
Geriye ise takipçilerinin başsağlığı mesajları kaldı.
**
**
Şu an yaşam savaşı veren ve aşı karşıtı olduğu için pişman olan Avustralyalı bir kadının söyledikleri:

"Delta varyantının bir yalan olduğunu ve abartıldığını söyleyen çok sayıda Facebook paylaşımı gördüm. Bu yüzden şu an hastanedeyim. İnsanlık için umudumu yitirmeye başladım. İnsanların yanlış bilgi yayarak insanların acı çekmesi ve ölmesine izin vermesi beni yıktı."
Bu fotoğraftakiler de yoğun bakımlarda yaşam savaşı veren aşısız insanlar. Bu şekilde sayısız örnek var ne yazık ki. Bütün bunlar ise buz dağının sadece görünen yüzü.

COVID-19'a yakalansanız bile aşılar sayesinde hastalığı hafif atlatıyorsunuz. Aksi takdirde uzun dönem etkileri ciddi rahatsızlıklara sebep oluyor. Türk Tabipleri Birliği'nin paylaştığı bu grafiğe göre hastalığın uzun dönem etkileri bir hayli ciddi.

Grafiği buradan detaylı inceleyebilirsiniz.
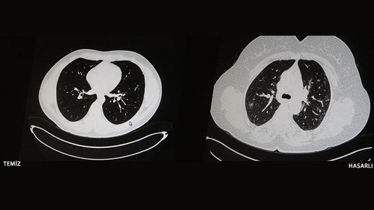
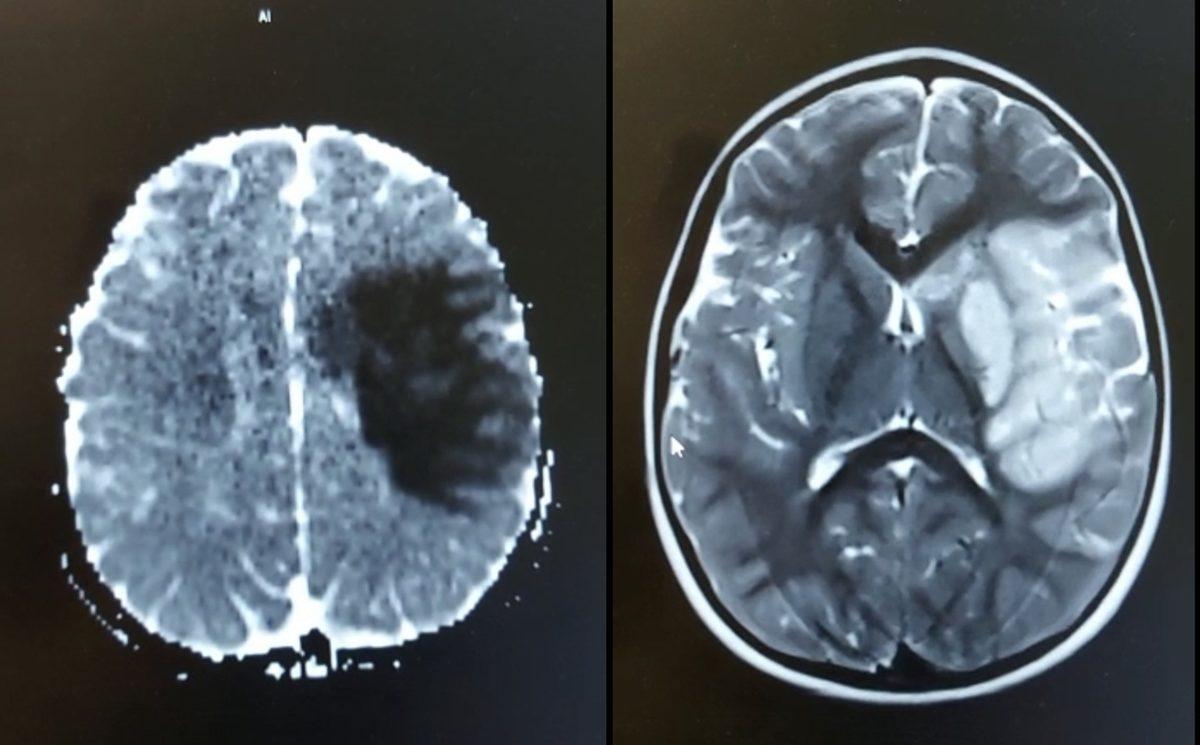
Çocuklarda ve gençlerde de etkileri sert olabiliyor. Aşısız ve aşılı iki gencin tomografileri arasındaki fark:

4 yaşındaki bir kız çocuğu. COVID-19'a bağlı beyin orta arter tıkanması nedeniyle sağ tarafı felç olmuş. Yoğun tedavi görmesine rağmen çok az bir düzelme var.

Üstelik kronik hastalığı yok, hastalık öncesinde tamamen sağlıklı.
Aşı vurulmamış insanlar nedeniyle doldurulan yoğun bakım ünitelerinin masum bir insanı nasıl hayattan kopardığına da acı bir örnek:
ABD'de yaşayan 74 yaşındaki bir adam, yoğun bakım ünitelerinin COVID-19 hastalarıyla dolması nedeniyle hayatını kaybetti. Kalp krizi geçiren ve eyaletteki 43 hastanede yer bulunamaması nedeniyle hayatını kaybeden adamın ailesi, herkesin aşı olması gerektiğini vurguladı.
İngiltere Ulusal İstatistik Ofisi'nin açıkladığı verilere göre, İngiltere'de 2 Ocak-2 Temmuz arasında 51.281 kişi COVID-19 nedeniyle hayatını kaybetti. Bu kişilerin 38.964'ü aşısızken, tek doz aşılıların sayısı 11.677, çift doz aşılıların sayısı ise 640 oldu.
Böylece çift doz aşı olup da ölenlerin oranı, COVID-19 kaynaklı toplam can kaybının sadece yüzde 1,2'sini oluşturdu. Ayrıca verilere göre COVID-19'dan ölen tam aşılıların yaş ortalaması 84.
Özetle; aşısızların pandemisini yaşıyoruz.
Kaynaklar: Türk Tabipleri Birliği, Independent, Sky News, Sputnik News, The Guardian, BBC, BirGün, The Advertiser, CNN Türk, AP News, NPR, AA







