Koronavirüsle mücadelenin en etkili silahının aşı olduğu, herkes tarafından bilinmesi gereken bir gerçek. Ancak bazı insanlar, bunu bir türlü kabul etmiyorlar. Üstelik aşı olmayı reddedip COVID-19'a yakalanan vatandaşların "Keşke aşı olsaydım" yakarışını da hepimiz duyuyoruz. Şimdi sizlere, neden aşı vurulmanız gerektiğinin ispatı niteliğinde olan bir görüntüyü ve bu görüntünün ardındaki hikayeyi anlatacağız.
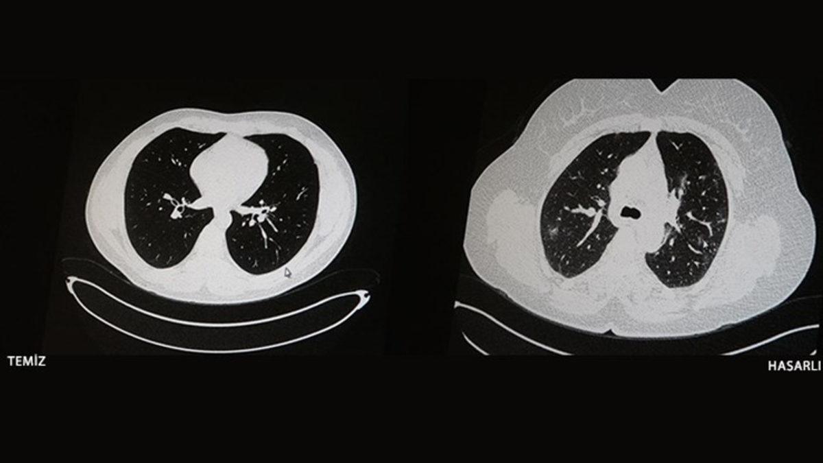
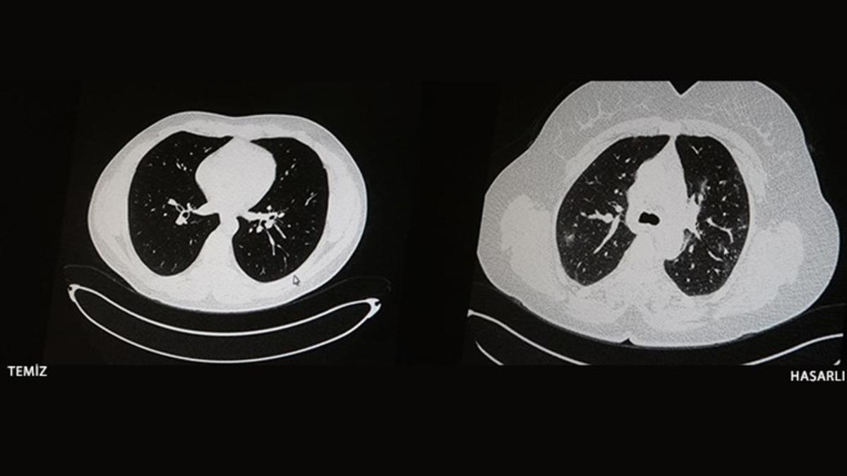
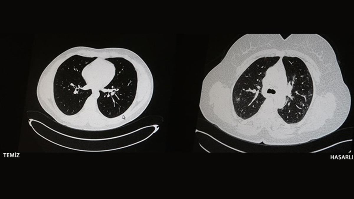
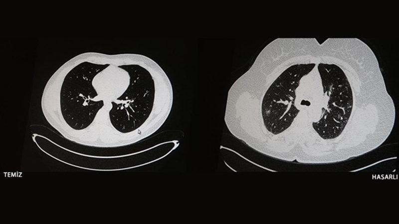
Söz konusu olay, Elazığ'da yaşandı. Öksürük, halsizlik ve yorgunluk gibi belirtilerle hastaneye başvuran iki gencin, aslında COVID-19'a yakalandığı tespit edildi. Bu gençler arasındaki en büyük fark, birinin aşılıyken diğerinin aşılı olmamasıydı. Gençlerin her ikisi için de akciğer tomografisi isteyen doktorlar, aşı olup COVID-19'a yakalanan gencin ciğerlerinde hiçbir sorun tespit edemediler. Aşısız olan genç ise koronavirüsün etkisiyle zatürreye yakalanmıştı.
İşte aşı olan ve olmayan COVID-19 hastalarının tomografi görüntüleri

Konuyla ilgili açıklamalar, Göğüs Hastalıkları Uzmanı Dr. Cebrail Azar tarafından yapıldı. Çekilen tomografi görüntülerinin aşı olmamanın nelere mal olabileceğini gösterdiğini söyleyen Azar, "Ben gencim, benim bağışıklık sistemim kuvvetli." algısına düşülmemesi gerektiğini ifade etti. Herkesin hastalığa yakalanabileceğini ancak önemli olan şeyin hasar olduğunu hatırlatan Cebrail Azar, herkesin aşı olması gerektiğini söyledi.
Dr. Cebrail Azar, yaptığı açıklamalarda şu ifadelere yer verdi; "Keşke biz de aşı olsaydık diyenlerin sayısı çok fazla. Bunun dışında hastalığı atlatanların da bize ilk sordukları soru 'Hocam, aşımı en yakın ne zaman yapacağım?’ oluyor. Çünkü hastalığı ciddi geçirdiği için aşının koruyuculukta büyük bir faydası olduğunu görüyor. Şu an yoğun bakımlarda, servislerde yaş ortalaması düşüyor. Tavsiyemiz, ‘Ben gencim, benim bağışıklık sistemim kuvvetli’ deyip bu virüs illetine karşı savunmasız kalınmamasıdır. Dolayısıyla hastalıkla mücadelede vücudun direnci eğer genetik olarak da zayıfsa ki bunu önceden ön görmek çok zor, o zaman maalesef hastalığa bağlı kalıcı hasarlar kalabiliyor."

