İnsan beyninin yüzde kaçının kullanıldığı konusunda bazı söylentiler var. Üstelik bu konuda Lucy gibi filmler bile çekiliyor. Günümüzde sosyal medyanında işin içine girmesiyle en ufak yanlış anlaşılma dünya çapında yayılabiliyor. Örneğin beynimizin %2, %5 ya da %10'ununu kullandığımız bilgisi gibi.
Aslında bu durum çok doğal. Çünkü bilim, salt bir doğru ve değişmez gerçekler üzerine kurulu değildir. Bir bilgi her zaman yenisi kanıtlanınca yanlışlanabilir. Beynimizin %10'unu kullandığımız efsanesi, Einstein'ın yaşadığı yıllarda kabul gören bir gerçekti. Ancak bu gerçek daha sonradan yapılan çalışmalar ile değişti. Bize kalan, artık yanlış olan bir bilginin popüler kültürdeki yeri oldu.
İçerikten Görseller
Beynimizin %10'unu kullandığımıza dair söylentiler nasıl ortaya çıktı?

Böyle bir algının yaygınlaşması için bu alandaki bazı araştırmaların olması gerekiyor. Tabii ki beynimizin %10'unu kullandığımızı söyleyen araştırmalar da mevcut, ancak bu araştırmaların tarihi 1890'lara kadar dayanıyor.
O dönem Harvard'da görev yapan psikologlar William James ve Boris Sidis, beyin çukurunu boşaltarak davranışlarda ve düşüncelerde bir değişiklik olup olmadığını gözlemlediler. Sonuçlara göre insanlar, beyinlerinin sadece %10'unu kullanıyordu. Albert Einstein da bu konu hakkında destekleyici açıklamalar yapınca görüş popüler bir hal almaya başladı.
Son çalışmalar gösteriyor ki beynimizin %10'unu kullanıyor olsaydık, bitkisel hayatta olmamız gerekirdi:

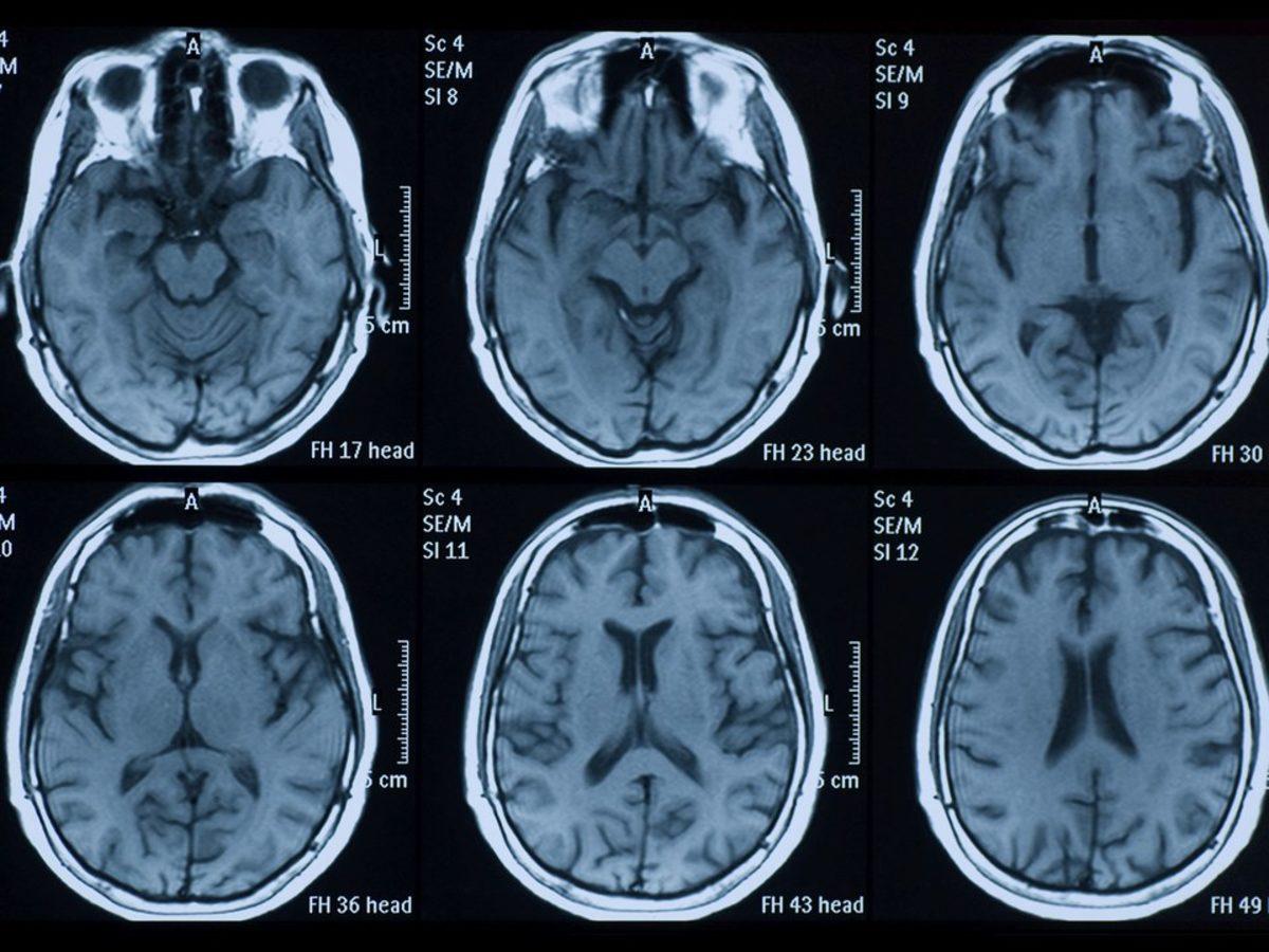
Gelişen teknolojiyle birlikte herhangi bir cerrahi müdahale olmadan da beyinle ilgili veriler elde edilebiliyor. Hemen hemen herkesin duyduğu MR (Manyetik Rezonans Görüntüleme), insan beyninin kullanılmayan hiç bir bölgesinin olmadığını rahatlıkla gösterebiliyor. Bir diğer tıbbi veriye göre, gerçekten beynimizin %10'unu kullanıyor olsaydık, bitkisel hayatta olmamız gerekirdi.
Bir diğer basit denklem de aslında bu söylentinin ne kadar saçma olduğunu gösteriyor. Bilindiği üzere insan vücudunda üretilen enerjinin yaklaşık %20'si beyni çalıştırmak için kullanılıyor. Bu enerji kullanımınının sadece %10'u aktif olan bir organ için çok fazla olduğu söyleniyor. Bu yüzden beynimizin %10'unu kullandığımızı savunan düşünceye artık sadece bir mit deniyor. Böylece insan beyninin %100 oranında kullanıldığı artık tescillenmiş bir gerçek.
Çok basit bir hareket olan parmak şıklatma sırasında bile beynimizin %70'ini kullandığımızı ortaya koydu:

Dr. Muzaffer Kaşer tarafından da onaylanan ve çokça dile getirilen bu gerçek, insanlığın beyinleriyle ilgili gerçekleri kabul etmesi adına büyük bir adım.
Beynimizin %10'unu kullandığımızı savunan söylentiler, bazı insanlar tarafından beynin %100'ünü kullandığımızda süper güçlere sahip olacağımız şeklinde bile yorumlanmıştı. Bugün bile toplumun büyük bir çoğunluğu, bu tutarsız söylentiye inanmakta.
Konuyla ilgili daha fazla bilimsel detaya erişmek isterseniz aşağıdaki videoya göz atabilirsiniz:
Kafam Deli Sorular yazı dizimiz için siz de önerilerde bulunabilirsiniz:
Bunun için aklınızdaki en "deli" soruyu yorumlarla ya da e-posta yoluyla bize bildirin. Araştıralım, gerekirse işin uzmanına danışalım. Yeter ki kafanızdaki o sıra dışı sorulara, içinizdeki meraka ışık tutalım.