Beyin, insan vücudun en temel organlarından biridir. Öyle ki kalp atışı, soluk alma ve sindirim gibi istemsiz eylemler, otonom sinir sistemi yoluyla beyin tarafından yönetilir.
Böylesine önemli bir organın, %90’lık hasar oranıyla nasıl çalıştığına bakalım.
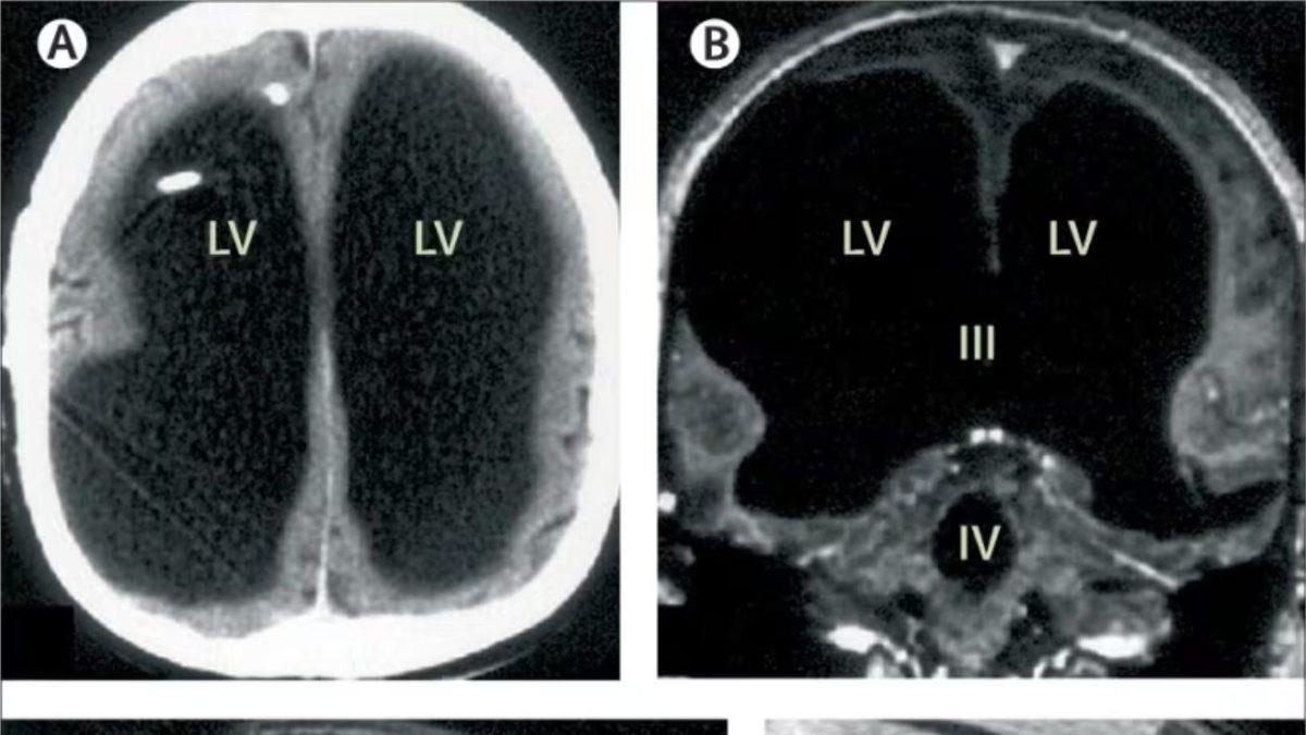
Bilim insanlarına göre 44 yaşındaki Fransız bir adamın beyninin, %90’ı hasarlıydı.

Ancak o, hayatını büyük oranda sanki hiçbir sağlık problemi yokmuş gibi yaşamaya devam ediyordu. Yalnızca sol bacağında hafif bir güç kaybı vardı ve bu sebeple doktora gitmişti.
Bu şikayetinin neyden kaynaklandığını bulmaya çalışan doktorlar, yaptıkları beyin taramasında kafatasının büyük kısmının sıvıyla dolu olduğunu gördü. Şaşırtıcı şekilde gerçek beyin dokusunun sadece ince dış tabakası yerindeydi.
Ancak beyninin iç kısmının neredeyse tamamı aşınmış durumdaydı.

Doktorlar ise 44 yaşındaki bu adamın beyninin büyük kısmının, 30 yıl boyunca beyindeki sıvı birikmesiyle yavaş yavaş yok olduğunu düşündü. Bu rahatsızlığın ismi de hidrosefaliydi.
Aslında tüm bunlara rağmen bu adam, zihinsel engelle de değildi. Üstelik IQ’su 75’ti ve memur olarak görev yapıyordu. İki çocuğuyla birlikte hayatına büyük oranda devam ediyordu.
Bu vaka, bilim insanlarının hayatta kalmak için nelerin gerektiğini sorgulamasına yol açmakla kalmadı. Aynı zamanda bilinç anlayışımızı da zorladı.
Özetle iletişimsiz hidrosefali olarak bilinen belirli bir hidrosefali türü, beyinde yavaşça sıvı birikmesine sebep olur. Ancak bu rahatsızlık genellikle kişinin günlük hayatına devam etmesine engellemez.



