Koronavirüsün tedavi ve aşısının geliştirilmesi için virüsünün yapısının ve davranışlarının ortaya çıkarılması önemli bir noktada yer alıyor. Bu nedenle bilim insanları, SARS-CoV-2 ismi verilen yeni tip koronavirüs üzerinde detaylı çalışmalara devam ediyorlar.
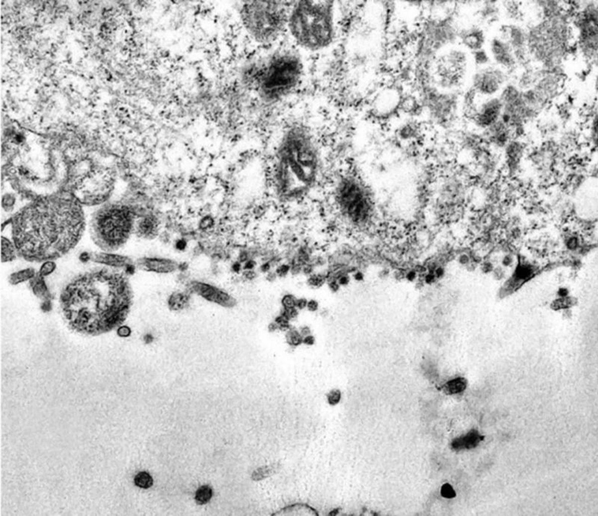
Koronavirüs incelemesine devam eden Brezilyalı bilim insanları, virüsün bir insan hücresini nasıl enfekte ettiğini gözlemleyebildiler. Bilim insanları, koronavirüsün hücreye saldırı anını görüntülemek için elektron mikroskobu kullandılar.
İçerikten Görseller

Koronavirüsün hücreye saldırdığı anların yer aldığı görüntülerde siyah noktalar olarak görülen koronavirüs, insan hücresinin genetikten sorumlu organeli olan sitoplazmaya saldırıyor. Sitoplazmaya saldıran virüs, bu şekilde insan hücresine enfekte oluyor.
Koronavirüsün hücreye saldırı anının görüntülerinde koronavirüsün ismini veren sivri protein uçları da görülüyor. Virüs bu sivri protein uçlarını kullanarak hücrelere tutunuyor. Koronavirüse karşı aşı çalışmalarında bu sivri protein uçlarının bağlandığı hücre proteinleri hedef alınıyor. Bu nedenle koronavirüsün hücreye nasıl girdiği ve sivri protein uçlarının nasıl çalıştığının belirlenmesi oldukça önemli.

