İnanması güç olan Fetus-in-fetu (FIF), tıpta “anomali” (normalin dışında, anormal olan) şeklinde ifade edilirken bu rahatsızlığı yaşamış dünya çapında 200 vaka bildirilmiş durumda.
Bu sendrom kimi zaman annenin hamileliği esnasında tespit edilebilirken, çoğunlukla yenidoğanlarda ortaya çıkıyor ve yaklaşık 500.000 doğumda 1 oranında görülüyor. Erişkinlerde ise, yenidoğanlara oranla çok çok daha az rastlanılan bir durum. Bu vakanın neden ve nasıl oluştuğuna daha ayrıntılı bir şekilde bakalım.
Aslında her şey döllenmiş yumurtanın ilk gelişimi esnasında başlıyor.

Döllenme sırasında embriyoyu oluşturan hücre kümeleri normal bir biçimde geliştiğinde sağlıklı ikizler meydana gelirken, iki embriyo farklı boyutlardaysa, büyük olan yeterli miktarda plasenta kanını alıyor ve gelişmeye devam ederek normal bir fetüs halini alıyor. Küçük olan ise elverişsiz rahim içi koşullar nedeniyle gelişemeyerek hayatını kaybediyor ve o bölgede cansız bir şekilde kalıyor.
Bu semptomun nasıl ortaya çıktığına dair çalışmalar yapan araştırmacılar, iki ortak teoride birleşir.

Bir görüşe göre fetüsün kalbi, beyni, gözbebekleri, bağırsakları ya da farklı uzuvları içeren organları farklılaşırken, bir diğer durumda normal ikizler, simetrik yapışık ikizler olarak deforme olurlar.
Meecker, 19. yüzyılda ilk olarak FIF’i, deforma ikizlerden oluşan bir fetüsün, sağlıklı eşinin karın boşluğunda var olması şeklinde nadir bir durum olarak tanımladı.

Bu sendromu gösteren fetüsün muayene esnasında karnı şiş, aynı zamanda yumuşaktı ve karnındaki kitleler belirgin bir şekilde ele geliyordu. Kitle fetüs görünümünde, uzuv benzeri yapılara, anormal iskelet ve bağırsak gelişime sahipti.
Olguların yaklaşık %80'inde bu anormal durum, normal fetüsün vücudunda karnın arka bölgesinde ortaya çıkıyor ancak göğüs, kasık ve kuyruk sokumu gibi vücudun diğer bölgelerinde de görülebiliyor.
Çoğu zaman, fetüsün içinde sadece bir fetüs bulunur fakat iki veya daha fazlasının bir arada bulunduğu vakalara da rastlanabilir.

Tanı ve tedavi için ise fetüs içinde yeni bir fetüs oluşumuna sebebiyet veren bu kitle, yeni doğan bebeklerin vücutlarına potansiyel olarak zarar verirken, ameliyatla çıkarılmalı ve incelenmelidir.
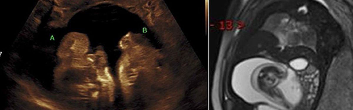
Fetüs içinde fetüs sendromu, zaman zaman hamileliğin erken dönemlerinde tespit edilemeyebilir.

Gebelikler ortalama 38-40 hafta sürerken, bir annenin gebeliğinin 25. haftasında bir kitle tespit edildi ve bu kitleler hamilelik ilerledikçe artış gösterdi. Ultrason ve MR ile tespit edilen bu kitleler incelendiğinde, oluşumların fetüs içinde fetüs vakasıyla sonuçlanacağı anlaşıldı.
Bazı durumlarda sağlık bir şekilde doğan bebeklerde, ileriki yıllarda yine karnında bir kitle olarak ikiz eşi tespit edilebilir.
Doğumdan sonra görülen örneklerde bu durum, çoğunlukla 1 yaş civarında meydana gelirken, var olan kitle büyüyerek etrafındaki dokulara baskı yapar ve bu baskının yarattığı şikayetler sonucunda bebeğin kendi içinde kardeşine ait kalıntılarını taşıdığı ortaya çıkar.
Okuma ve dinleme gibi farklı bilişsel problemler yaşayan Hindistanlı bir kadında, doğumundan yıllar sonra beyninde kardeşine ait kalıntılar tespit edildi.

Sahip olduğu kalıntılardan habersiz genç kadının bu sendroma sahip olduğu anlaşılınca, alışılmışın dışında bir ameliyat tekniğiyle, 26 yıldır ona işkence eden ikiz kız kardeşine ait kitleler temizlendi.
Zaman zaman FIF ile başka şekillerle ve sebeplerle gelişen tümörleri birbirine karıştırmak mümkün.
Fetüs içinde fetüse sebep olan kitlelerin de bir tümör türü olan “teratom”un da tanısı oldukça zordur ve fetüs oluşumuna sebep olan kitleler çoğunlukla teratom zannedilebilir.
Geçmişte bilim insanları, fetüsteki fetüsün anormal bir gelişimin ürünü olmaktan çok, oldukça gelişmiş bir teratomun sonucu olduğunu düşünüyorlardı.

Teratomlar, vücutta bulundukları bölgeye yabancı dokulardan oluşan saç, diş, kemik ve organ dokularını içerebilen ve bebeklerde en yaygın görülen kötü huylu bir tümör.
Teratom genellikle yumurtalık, testis, karın zarı ve kuyruk sokumunda görülürken FIF, yetersiz kan akışı nedeniyle büyümeyi durdurabilen amniyotik kesede bulunur. Bunun yanında fetüs içinde fetüse sebebiyet veren kistler, iyi huylu ve göbek kordonunun yapısına benzer temiz bir kan kaynağına sahip.


