Çok sevdiğiniz bir kişide şizofreni gibi bir psikolojik bozukluğun oluştuğunu düşünün. Böyle bir durumda ona yardım etmek istersiniz, bu yüzden size yaşadıklarını anlatmasını istersiniz. O da başta korkup kaçacağınızı düşünse de sonra size güvenip anlatmaya başlar. Fakat onun hezeyanlarını dinledikçe bir süre sonra gerçekten korkmaya başlarsınız ve "acaba bana da mı bulaşıyor ben de mi 'delirmeye' başlıyorum" diye düşünürsünüz.
Tabii ki bu bahsedilen durum herkes için geçerli değil fakat herkesin başına gelebilecek durum ve bu konu hakkında aydınlatılması gereken çok fazla mit var. Psikoloji ve psikiyatri bilimleri uzun yıllardır her bir bozukluk için bozukluğun oluşma nedenleri üzerinde incelemelerde bulunuyorlar. Her bir bozukluğun kendine has dinamikleri bulunuyor ve hiçbir bozukluk zannedildiği gibi tek bir nedenden dolayı oluşmuyor.
Bozuklukların tek bir nedeni yok!
Sosyal bilimlerin konusu çoğu zaman insan ve onun davranışlarıdır. Etik açıdan bir insanı fare gibi laboratuvara koyup inceleyemeceğiniz için insan üzerinden 'neden-sonuç' içeren araştırmalar yapmak zordur. Daha çok betimsel yani ilişkisel araştırmalar yapabilirsiniz. Yani "bunun nedeni budur demek" yerine bununla şunun arasında şöyle bir ilişki olabilir dersiniz. "Peki bunun ne önemi var?" derseniz eğer, aslında çok önemi var.
Yaptığınız bir araştırmada insan üzerindeki bütün değişkenleri kontrol edemezsiniz. Tüm değişkenleri kontrol ettiğinizi düşünseniz bile deneye katılan kişi deneyden sıkılabilir, soruların cevaplarını ezberleyebilir. Yani demek istediğim, psikolojik bozukluklarda da aynı şey geçerli. Bozukluğu araştırırken beyindeki bir nörotransmitterin eksikliğinden mi kaynaklanıyor yoksa beyindeki gri maddenin azlığından mı kaynaklanıyor ya da bunlar bir sonuç mu, genetik faktörler mi etkli, çevresel faktörler mi etkili bunu çoğu zaman bilemiyorsunuz. O yüzden sadece ihtimallerden bahsedebilirsiniz.
Korkmayın, ailenizde var diye sizde de olmak zorunda değil!
Kalıtımla psikolojik bozuklukların ne kadar aktarıldığına dair araştırmalar çok uzun yıllardır yapılıyor. Bu çalışmalar o kadar ciddi ki aileler üzerinde, ikizler üzerinde (tek yumurta ikizleri, çift yumurta ikizleri), evlat edinilmiş çocuklar üzerinde 40 yılı aşan çalışmalar bile yapılıyor. Şizofreni gibi bazı hastalıkların genetik geçişli olabileceği düşünülüyor. Fakat genetik olarak bir hastalığa yatkın olsanız dahi bulunduğunuz olumlu çevresel şartlar sonucunda hiç ortaya çıkmayabilir.
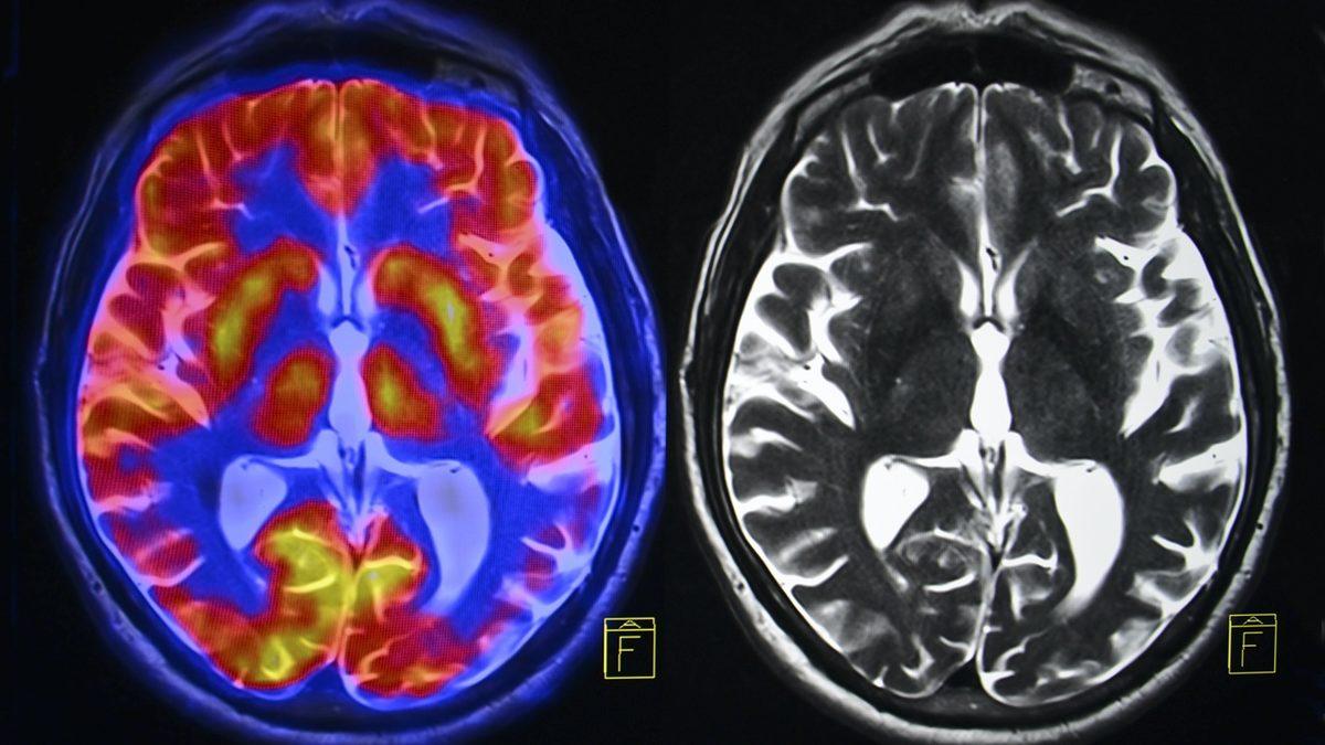
Beyinde gerçekleşen işlevsel bozukluklardan dolayı oluşan hastalıklar da var.

Beyin görüntüleme çalışmaları, teknolojinin gelişmesiyle birlikte ilerledi. Manyetik Rezonans (MR), Difüzyon Tensor Görüntüleme(DTI), Pozitron emisyon tomografi (PET) gibi görüntüleme teknikleri beyinde gerçekleşmiş olan ve psikolojik bozukluğa yol açabilecek yapısal ve işlevsel bozukluklar hakkında bilgi veriyor.
Fakat burada asıl önemli olan, "beyinde değişimler olduğu için mi bu bozuklukların yaşandığı yoksa bu bozukluklar zaten var olduğu için mi beyindeki bu değişimler yaşandı?" sorusunun cevabıdır. Bu sorunun cevabı, gelinen aşamada henüz bilinemiyor. Aynı şey beyindeki dopamin, glutamat, serotonin, GABA gibi nörotransmitterler için de geçerli. Örneğin depresyon gibi bozukluklarda hastanın serotonin seviyesinin düşük olduğu bilinir ve verilen antidepresanlarla bunun seviyesi artırılmaya çalışılır ve bu, danışana iyi gelir. Fakat bozukluğun tek nedeni serotonin düşüklüğü müdür, yoksa o bir sonuç mudur?
Başımıza gelen olaylar, bozukluğu tetikliyor olabilir.
Yaşamın erken yıllarında başımıza gelen olaylar, depresyon gibi bazı bozuklukları tetikliyor olabilir. İstenmeyen gebelik sonucunda doğan çocuk olmak, annenin gebeliği sırasında çökkünlük geçirmesi, anne karnındayken yaşanılan olağanüstü olayların (savaş, zorlu hava koşulları gibi) şizofreni ve depresyon gibi bozuklukların oluşma riskini arttırdığı bulunulmuş.
Kişiliğiniz sizdeki bazı bozuklukları tetikliyor olabilir.
Ruhsal Bozuklukların Tanısal ve İstatiksel El Kitabı 5’in (Diagnostic and Statistical Manual of Mental Disorders 5th Revision, DSM-5) tanımladığı kişilik bozuklukları bulunuyor. Kişilik bozuklukları kadar şiddetli olmasa da aynı özellikleri taşıyan kişilik tipleri de bulunuyor. İşte bu kişilik tipleri bipolar bozukluk gibi bozuklukları tetikleyebiliyor.
Son olarak, bazı bozuklukları da öğreniriz.

Geçtiğimiz günlerde Japonların maçlardan sonra etraftaki çöpleri topladıkları videolar viral olmuştu. Bazı kültürlerde, ailelerde; titizliğe, kurallara, düzene bu şekilde önem verilir. Buna dair net veri olmasa da bu kültürle büyüyen çocuklarda bunaltı, fobiler ve saplantı zorlantı(OKB) gibi bozuklukların tetiklendiği düşünülüyor.
Fobilerin öğrenmeyle oluştuğuna dair yapılan Küçük Albert (Little Albert) deneyinde henüz 9 aylık bir bebek olan Albert'e tüylü hayvan korkusu öğretilmişti. Bu ve benzeri deneylerden dolayı bazı psikolojik bozuklukların bu şekilde öğrenme sonucu oluştuğu düşünülüyor.
Not: Travmatik olayların başınıza gelmesi, genetik olarak bozukluklara yatkın olmanız gibi faktörler olsa da olumlu aile ortamında bulunduğunuz zaman bu bozuklukların görülme riski azalır.
Kaynaklar: Ruh Sağlığı ve Bozuklukları - Orhan Öztürk, İstanbul Boğaziçi Enstitüsü, DSM-5



