Çoğu çocuğa “Büyüdüğünde ne olacaksın?“ diye sorduğumuzda aldığımız cevap ***“Astronot”***tur. Uzayın derinliklerinde keşfe çıkma fırsatı sunan bu meslek, hiç şüphesiz bir çocuk olarak birçoğumuzun hayallerini süslemiştir. Ancak takdir edersiniz ki astronotluk, aynı zamanda dünyanın en zor mesleklerinden de birisidir. Öyle ki bu meslek, çoğu zaman işinizi özel hayatınızdan önde tutmanızı ve kendinizden çok fazla şey vermenizi talep eder.
Ancak astronotluğun getirdiği zorluklar sadece bunlarla sınırlı değildir. Çok uzun süre alışmış olduğunuz Dünya atmosferinden farklı bir ortamda bulunmanın, peki tabii vücudunuzda sebep olacağı bazı sonuçları da vardır. Yeni bir araştırmaya göre astronotların Dünya’ya döndükten aylar sonrasında bile beyinlerinde belirgin değişiklikler olması da bu sonuçlardan birisidir.
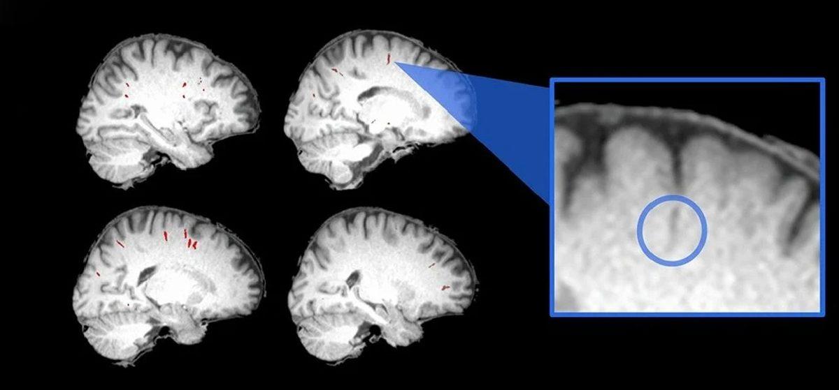
Uzaya ilk kez çıkan astronotların beyinlerinde büyük değişimler meydana geliyor

Beynimizden geçen kan damarlarını çevreleyen alanlara odaklanarak, mikro yerçekiminin biyolojimiz üzerindeki çarpıtma etkisine ilişkin yapılan en son değerlendirmelere göre astronotlar, görevler arasında endişe verici değişikliklere maruz kalıyor.
ABD'nin dört bir yanından araştırmacılar, 15 astronotun beyinlerinin, Uluslararası Uzay İstasyonuna gitmeden öncesine ve dönüşlerinden altı ay sonrasına ait bir dizi manyetik rezonans görüntüsü (MRI) taramasını karşılaştırdı. Sıvıların dengesini kolaylaştırdığı düşünülen beyin dokusundaki boşluklar olan perivasküler boşlukların boyutlarını dikkatlice değerlendirmek için algoritmalar kullanan ekip; yörüngede geçirilen zamanın, en azından ilk kez uzaya çıkanların beyin damar yolları üzerinde derin bir etkisi olduğunu tespit etti.
Kıdemli astronotların beyin taramalarında ise çok büyük değişiklikler bulunmuyor

Öte yandan incelenen kıdemli astronotların perivasküler boşluklarının boyutlarının, görevden önce alınan iki taramada ve sonrasında alınan dört taramada birbirinden çok farklı olmadığı ortaya çıktı. Oregon Sağlık ve Bilim Üniversitesi nöroloğu Juan Piantino, bu duruma, deneyimli astronotların bir tür ‘homeostaziye’ uğramış olabileceğini, yani vücudun çevresel farklılıklara uyum sağlamak amacıyla değişime uğrayarak denge durumuna ulaşmış olabileceğini söyleyerek açıklama getiriyor.
Sabit yerçekimi olmadığında beynin nasıl bozulduğu hakkında zaten bildiklerimiz göz önüne alındığında, aslında bu bulgular o kadar da şaşırtıcı olmayabilir. Beyin dokuları ve sıvı hacimleri üzerine yapılan önceki çalışmalarda, uzaya gerçekleştirilen bir seyahatten sonra iyileşmelerinin yavaş olduğu; hatta bazı değişikliklerin bir yıl veya daha uzun süre devam ettiği tespit edilmişti.
Uzaya çıkan astronotların beyinleri, yeni bir tür 'normal'e adapte oluyor

Mevcut durumda astronotlar, çok nadiren yaşamları boyunca uzaya birkaç yolculuktan fazlasını yaparlar ve genellikle bir seferde yaklaşık altı ay boyunca uzayda kalırlar. Ancak uzay biliminde son yıllarda yaşanan gelişmelerle uzay endüstrisinin giderek daha ticari bir hale gelmesi, bu durumun değişebileceği anlamına geliyor. Bu noktada ise tekrarlanan yolculukların zararlı olup olmadığının ve uzaya gerçekleştirilen ilk yolculukta astronotların beyinlerinde meydana gelen değişikliklerin onları geçici olarak yeni bir tür ‘normal’e adapte edip etmediğinin anlaşılması oldukça büyük bir önem arz ediyor.
Söz konusu genişlemiş perivasküler boşluklar olsa bile, bu değişikliğin herhangi bir kayda değer sağlık riskine yol açıp açmadığı henüz tam olarak bilinmiyor. Mikro yerçekiminin beyin omurilik sıvısının dolaşımı üzerinde herhangi bir etkisi olup olmadığını, kanal ağlarının şekillerindeki değişikliklerin önemli olup olmadığını söylemek için henüz çok erken. Ve araştırmacıların elinde çok daha fazla kıdemli astronot örneği olana kadar da bu durum gizemini korumaya devam edecek gibi görünüyor.
Ancak varsayımsal olarak konuşacak olursak, beyindeki bu kanalların verimli bir şekilde çalışmaması durumunda, beyinde yıkıcı materyallerin birikmesi söz konusu olabilir ve bu da kişinin -bu durumda astronotların- potansiyel olarak Alzheimer gibi nörodejeneratif bozukluklar geliştirmesine katkıda bulunabilir.

