“En mutlu” tanımına şüpheyle yaklaşmamız çok normal. Hepimiz her gün bir şeyler yapıyor, bir şeyler için çaba sarf ediyoruz. Bunların altında yatan ve aslında ulaşmayı hedeflediğimiz tek şey ise mutlu olma arzusu. Bilim insanlarına göre ise eski bir genetik bilimci olan Matthieu Ricard dünyanın en mutlu insanı!

İçerikten Görseller
+1
Bundan 40 yıl önce Budizm’le, 21 yaşında Hindistan’a yaptığı bir seyahat sonrasında ilgilenmeye başlayan Richard, Paris'teki yaşantısını bırakıp Hindistan'a yerleşiyor. Çoğunlukla elektrik vb. gibi dünyevi şeylere ihtiyaç duymadan Nepal'de yaşıyor. Tabi bu dış dünyadan kendini izole ettiği anlamına da gelmiyor. Çünkü Ricard bu sürede kitabı çok satan bir yazar olmanın yanında, iki viral olmuş TED konferansı da veriyor.

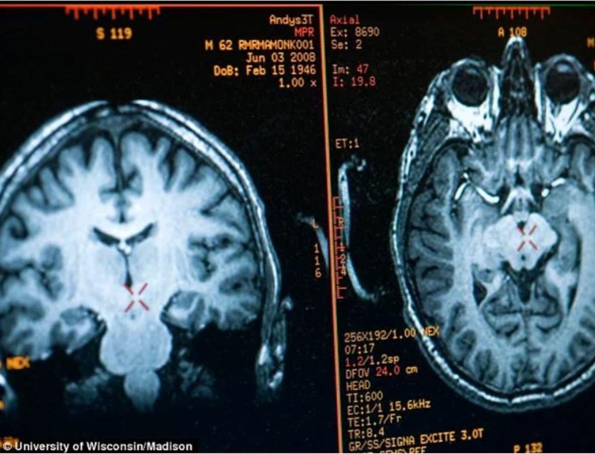
Kendisinde tespit edilen yüksek oranda mutluluğun resmi sonuçlarına gelirsek; Matthieu Ricard, bundan birkaç yıl önce Wisconsin Üniversitesi’nde kendi gibi düzenli olarak meditasyon yapan birkaç kişiyle birlikte yürütülen bir araştırmanın deneği olmuş ve kafatasına tam 256 elektrot yerleştirilerek MR görüntülerine bakılmış.

Sonuçlanan tarama sonuçları, deneyi yapanları bir hayli şaşırtmış. Çünkü Ricard'ın mutluluk hormonlarının seviyesi, yaşadığı himalayalar kadar yükselmiş. Beynindeki şükretmek ve zevk almak ile ilgili alanların "anormal" derecede gelişmiş ve normalden daha büyük olduğu, beynin ön sol lobunda ise negatif duyguları engellemeye meyilli ve mutluluk veren geniş bir alan olduğu tespit edilmiş.

Bilim insanları bu durumu meditasyona bağlıyor. Uzun vadede yapılan araştırmalara göre 50 bin defa meditasyon yapmış insanların beyninde farklılıklar oluşuyor. Modern zamanlarda belki bizler, buna çok fazla vakit ayıramıyoruz ancak günlük 20 dakikalık meditasyonun bile beyin üzerindeki gücü çok büyük.

Meditasyon bazı insanlara anlamsız geliyor, çünkü 'Neden o kadar saat oturup hareketsiz durayım ki' diye düşünüyorlar. Ancak sonuçlar gösteriyor ki meditasyon, beyninizde kökten bir takım değişiklikler yapıyor, hatta daha ileri gidersek, olduğunuz kişiyi bile değiştiriyor.
Hatta Ricard'ın da bu konuyla alakalı bize vereceği çok önemli tavsiyeler var:
- "Sağlıklı bir beyin, tıpkı bir ayna gibi olmalıdır. Nasıl bir ayna, farklı yüzleri gösteriyor ancak hiçbiri onun üzerinde yapışıp kalmıyorsa, düşüncelerimiz de zihnimizden aynı şekilde akıp geçmeli. Onların akışını izlemeliyiz; tutunup kalmamalıyız.
- "Düşüncelerin zihnimize gelmesini durdurmak imkânsızdır ancak etrafınızdaki belirli bir sese ya da nefes alış-verişlerinize odaklanarak onları biraz olsun susturabilir, zihninizi rahatlatıp temizleyebilirsiniz. Zihninizin kölesi olmak zorunda değilsiniz.
- Dikkatinizi özellikle nefes alış-verişleriniz üzerinde yoğunlaştırın. Bir süre sonra düşünceler gelecektir fakat bunu fark ettiğiniz anda tekrar nefesinize odaklanmaya başlayın. Geçmiş ya da gelecek yerine içinde bulunduğunuz âna odaklanmaya çalışın.
- "Meditasyon, farkındalık ve duyarlılık yaratmakla ilgilidir. Örneğin anksiyete yaşıyorsanız, bunu durdurmaya çalışmak ve size kaygı veren düşünceleri unutmak mümkün değildir. Ancak duyarlılık ve gözlemcilik geliştirme yeteneği kazandığınızda, kaygınızı da tıpkı dışardaki seslerin akışını izlediğiniz gibi izleyip hissedebilirsiniz."
- "Bunu düzenli olarak yapmaya başladığınızda, bir süre sonra göreceksiniz ki nezâket ve şafkât duyguları içinizde gelişmeye başlayacak ve kendinizde bulduğunuz rahatsızlık verici duygular ve nitelikler kaybolacak."
- "Meditasyonu tıpkı piyano çalmayı öğrenmek gibi düşünün. Her gün belirli bir süre piyano çaldığınızda nasıl bir süre sonra ustalaşmaya başlıyorsanız, aynı şekilde meditasyon da üzerinde zamanla ustalaşılan bir aktivitedir."
Ve son olarak Ricard'ın TED için yaptığı muhteşem konuşmayla sizi başbaşa bırakıyoruz:
