Hepimizin bildiği gibi normal şartlarda bir insanın bir kalbi olması gerekir. Ancak tıbbi literatürde bu ve bunun gibi istisnalar da mevcuttur. Yani çok nadiren de olsa bir insanın iki kalbi olabilir.
Gelin, bunun nasıl mümkün olabildiğine bakalım.
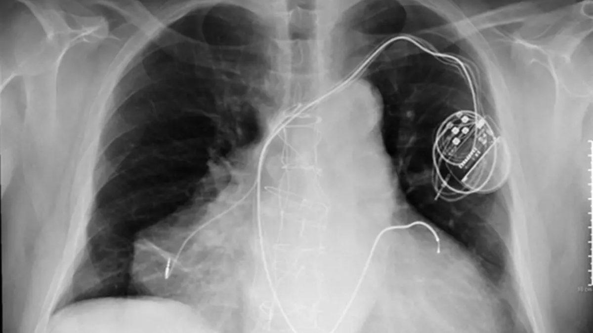
2010 yılında 71 yaşında olan bir adam, İtalya’nın Verona kentindeki bir acil servise nefes darlığı şikâyeti ile başvuruyor.

Ancak doktorlar, hastanın şikâyetinin neyden kaynaklandığını tespit etmeye çalışırken oldukça şaşırtıcı bir şeyle karşılaşıyor. Adamın 1 değil, 2 kalbi var!
Bu adam nefes darlığından henüz muzdarip olmadan birkaç yıl önce, yeni bir organın hastalıklı bir organla eşleştirildiği heterotopik kalp nakli olarak bilinen bir prosedür geçiriyor.
Böylece vücudunda 1 değil 2 kalp yer alıyor.

Aslında doktorlara göre bu durum, bazen kalp hastalarında veya böbrek hastalarında görülebiliyor. Yani doktorlar, eğer kalbi ya da böbreği çıkarmak hayati bir risk oluşturuyorsa, o organı içerde bırakabiliyor.
Ek olarak artık işlevini yerine getiremediği düşünülen organın, belirli bir süre sonra iyileşmesi için umut varsa o organ, vücutta bilerek bırakılabiliyor. İşte İtalya’da yaşayan 71 yaşındaki adamın 2 kalbe sahip olmasının sebebi de bu.
Bu adamın kendi kalbi aslında yıllar önce işlevini büyük oranda yitiriyor.
Sonrasında doktorlar, hastanın hayata tutunabilmesi için ona kalp nakli gerçekleştiriyorlar. Ancak kendi kalbini de vücudundan çıkarmıyorlar. Çünkü adamın kendi kalbi bir süre sonra iyileşme veya donörün kalbinin gerekli işlevi göstermeme ihtimali var.
Özetle bu adamın tek bir vücutta iki kalbe sahip olmasının sebebi bu şekilde. Oldukça etkileyici değil mi?




