Migren, şiddetli baş ağrısı, mide bulantısı ve ışığa hassasiyet gibi durumlara yol açarak hayatı fazlasıyla olumsuz etkileyebiliyor. Migrene karşı hala %100 etkili bir tedavi bulunmazken bugün, oldukça önemli bir gelişme yaşandı.
Güney Kaliforniya Üniversitesi’nden bilim insanları, migrene sahip kişilerin beynindeki değişikliği ilk kez tespit etti. Kronik ve aurasız epizodik migrenli kişilerde, ‘centrum semiovale’ adı verilen beyin bölgesinin mikroskobik boyuttaki perivasküler boşluklarının büyüdüğü gözlemlendi.
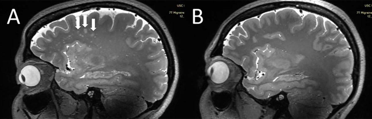
Migrene sahip kişilerin beyninde gözlemlenen değişiklik:

- A: Migenli kişiye ait MRI, B: Migrensiz kişiye ait MRI
Yeni keşif, migrenin nasıl oluştuğu hakkında önemli bilgiler sunacak:
Perivasküler boşluk olarak tanımlanan alan, beyindeki kan damarlarını çevreleyen sıvı boşluklardan oluşuyor. Bu boşluklar, özellikle kan-beyin bariyerindeki anormallikler ve iltihap gibi durumlardan etkileniyor.
Migrene sahip kişilerde bu boşlukta anormal bir durum olduğu keşfi de bu yüzden büyük önem taşıyor. Çalışmanın başında yer alan Wilson Xu, bu boşluğun migrenin kökeni hakkında cevaplar sunabileceğini belirtiyor.
Bilim insanları, migren ve perivasküler boşluk arasındaki ilişkiyi çözmeye yoğunlaşmış durumdalar. Bu konuda henüz net bir cevaba varılamamış olsa da ortada bir hipotez bulunuyor.
Bu hipoteze göre perivasküler boşluğun migrenli kişilerde daha büyük olması, beyindeki glimfatik bozulmadan kaynaklanıyor olabilir. Glimfatik sistem, merkezi sinir sisteminden çözünür proteinleri ve metobolitleri ortadan kaldırmaya yardımcı olmak için perivasküler kanalları kullanıyor, bir nevi atık temizleme sistemi olarak görev yapıyor.
Bilim insanları, yeni keşif ile elde ettikleri sonuçları önümüzdeki hafta paylaşacaklar.
