Hapşırık genellikle hiç olmadık yerlerde bizi bulur. Bu sebeple bazı zamanlar onu salmak yerine tutma eğilimi gösterebiliriz.
Ancak hapşırığı tutarsak neler olur?
Hapşırığı tutmak, çeşitli sağlık problemlerine sebep olabilir.

Saman nezlesi nedeniyle gözleri sulanan, boğazı gıdıklanan ve art arda hapşıran bir adam, hapşırmak yerine burnunu ve ağzını kapatmayı tercih etmişti. Hapşırığını tuttuktan kısa bir süre sonra ise boynunda şiddetli bir ağrı hissetmeye başladı.
Acil servise vardığında, boynunda krepitus olarak bilinen bir çıtırtı sesi duyuluyordu ve röntgen, cerrahi amfizemi ortaya çıkardı. Cerrahi amfizem, cildin altına hava sızdıran travmatik bir yaralanmaydı.
Bu olay, hapşırığın tutulmasıyla nefes borusunda bir yırtığın oluştuğu ilk vakaydı.
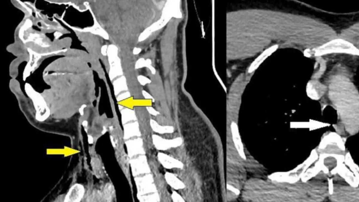
Hapşırığı tutma sonrası meydana gelen bir başka çıtırtı vakası, 34 yaşındaki bir adamın başına geldi.
Bu adam, hapşırığını önlemek için burnunu ve ağzını kapattı ve boynunda âdeta bir patlama hissetti. Kısa bir süre sonra yutkunmaya çalıştığında ise büyük bir ağrıyla karşılaştı ve aynı zamanda sesinde büyük bir değişim vardı.
Vakayı inceleyen doktorlar, kalbin havayla dolu bir dokuya çarptığında ortaya çıkabilen bir çıtırlı olan Hamman belirtisini tespit etti. Bunun üzerine bir tarama yapıldı ve adamın boynunun arkasını yırttığı anlaşıldı.
Hapşırığı tutmak, aynı zamanda mevcut yaralanmaları da kötüleştirebilir.

Örneğin 38 yaşındaki bir kişi, hapşırığını tuttuğu esnada sağ yanağında bir şişme oluştu. Doktorların tespitine göre bu adamın yüzünde subkutan amfizem meydana gelmişti. Bu rahatsızlık, baş ve boyun bölgesinde hava oluşumuna sebep olmaktaydı.
Özetle hapşırığı tutmanın tehlikeli olması pek de şaşırtıcı değildir. Çünkü hapşırık sayesinde hava, vücuttan saatte 56 kilometreye varan hızlarda dışarı atılır. Bunun engellenmesi ise çeşitli sağlık problemlerine davetiye çıkarır.



