İnternet fenomenleri, bundan sadece birkaç sene öncesine kadar çok daha akla yatkın işlerle isimlerini duyururlardı. Dikkat çekici ve öğretici içeriklerin sayısının azaldığı şu günlerde elimizde kalan tek şey, dikkat çekici ve içi son derece boş olan içerikler oldu. Özellikle YouTube, insan sağlığını son derece büyük tehdit altına atan bazı akımların kitlesel bir şekilde yayılması için en uygun mecralardan birisi haline geldi.
Normal şartlar altında deterjan yemenin sağlığımız açısından geri dönüşü olmayacak sonuçlara neden olacağının zaten bilincindeyiz. Fakat internetin sunduğu büyülü dünyaya beyinlerini teslim eden bir grup insan, ebeveynlerinin kontrolünden çıkmış bir grup genç deterjan yemeye başladılar. Tüm bunları yaparken görüntüleri kaydedip sosyal medyada paylaşmaktan geri durmadılar. Sanıyoruz ki bu olayda karşımıza çıkan ilk sağlık sorunu, tamamen psikolojik etmenlerle açıklanabilir.

Deterjan yeme gafletinde bulunan bir gencin, ABD’de haberlere konu olmuş gerçek hikayesiyle duruma açıklık getirelim:
17 yaşındaki JR, arkadaşlarıyla birlikte son ayların sosyal medyada en çok takipçiye sahip akımlarından birisine katılmak için toplandı. Amaçları deterjan yedikleri bir videoyu çekip internette yayınlayarak ünlü olmaktı. JR, üç deterjan topunu ağzına attı ve sonra olanlar oldu. Solunum problemleri ve baygınlık yaşayınca annesi ve arkadaşları onu en yakın acil servise götürdüler. Annesi, ilk semptomları bir hemşireye aktardı.
JR, ilk anlarda ağzından deterjanla karışmış mide sıvısını sürekli olarak kusmaya başladı ve nefes alma sorunu gittikçe büyümeye devam etti. Öksürükler, burunda ve yemek borusundaki şiddetli yanmalar yaşamaya başladı. Her ne kadar ağzına atıp, topları patlatır patlatmaz deterjanı dışarıya tükürmeye çalışsa da her şey için çok geçti. JR’ın yediği deterjanın bir kısmı, o nefes almaya çalıştıkça ciğerlerine doğru ilerliyordu. Zaten midesine çoktan ulaşmıştı.
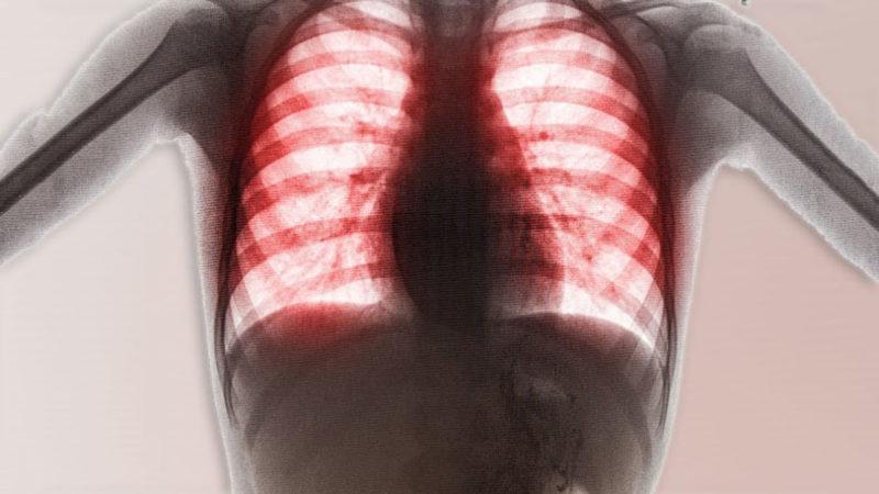
Akciğerlerindeki bronşlara bulaşmaya başlayan sıvı deterjan, JR’ı acılar içinde kıvratmaya devam ediyordu. Dudakları maviye dönmeye başlıyor ve aniden bir KOAH hastası gibi kıvranmaya devam ediyordu. Bu semptomlar sadece ilk 30 saniye içerisinde gerçekleşti.
Deterjan bileşenleri, firmadan firmaya farklılık gösteren kimyasal yapılara sahiplerdir. JR hangi markayı yemeye çalıştığını hatırlamasa da yaşadığı ilk semptomlar korkunçtu. Çünkü yemek borusu yanması olarak adlandırılan özofogus yanmasının ilk belirtilerini yaşamaya başlamıştı. Yemek ve nefes borusundaki dokular saniyeler içerisinde açık birer yara halini aldılar. Deterjan içindeki aşırı bazik madde geri dönüşü olmayan zararlar vermeye başladı. Sonuç olarak JR’in yemek ve nefes borusundaki dokular ölümün eşiğine geldiler.
Deterjanın etkisi ile oluşan yanıklardaki iltihaplanma, aynı zamanda kanın da pıhtılaşmasına yol açmaya devam etti. Pıhtılaşan kanın vücuttaki dolaşıma karışması ani ölümlere neden olan bir olaydır. Zira JR’ın sesi çıkmamaya ve ikinci derecede solunum yolları yanığı yaşamaya başlamıştı.

JR’ın gittikçe zor aldığı nefesler ve içinde bulunduğu panik durumu, kanındaki oksijen seviyesini düşürmeye başladı. İkinci ölüm ihtimali olan boğulma ihtimaliyle karşı karşıya kalmıştı.
Artan heyecanı düşük oksijen ve mücadelesi JR’ın kalbini de zorlamasına yol açtı. Gencin hızla atan kalbi “taşikardi” olarak bilinen ani ritim bozukluklarına, kalbin aniden hızlı atmasına neden olmuştu. Yani üçüncü ölüm ihtimali olan kalp sorunları da beraberinde geldi.
Hastanedeki ilk tetkikler sırasında JR, zaman geçtikçe uyumaya yönelik oluşan isteğine engel olamadı ve bilincini kaybetti. Yukarıdaki etmenler dolayısıyla JR, nefes alışverişini kontrol edemeyeceği için dördüncü ölüm ihtimali olan solunum yetmezliği ile karşı karşıya kaldı. Bu durum onu beşinci bir ihtimal olan kalp krizine doğru sürükleyebilirdi.

Konsantre deterjanların moleküler yapısı, standart deterjanlardan çok daha faklıdır. Bu moleküller, deterjan ve yap ile aynı anda çözülebilirler. Küçük bir deneyle bunu gözlemleyebilirsiniz. Bir kavanoz içine önce su ve üzerine yağ koyun. İki sıvının birbirlerine karışmadıklarını göreceksiniz. Fakat üzerlerine bir miktar deterjan döker ve karıştırırsanız sıvı homojen bir çözelti haline gelecektir.
JR’ın yemek ve nefes borularında yaşadığı durum da tam olarak deterjanların bu yapısından kaynaklanıyor. Hücrelerin üzerinde bulunan yağ dokuları ve su deterjanla çözülüp ölmelerine yol açıyor. Sonuç olarak dokuları ölüyor ve JR’ın yemek borusu iflas ediyor.
Genç JR, bu emsal olayı hiçbir zaman hatırlamak istemediğini ancak ömür boyunca izlerini taşıyacağını söylüyor.