Özellikle çocuklar, çeşitli aromaları sebebiyle diş macunlarını yutmaya daha da elverişlidir ve bu miktarlar ebeveynler fark etmeden aşırıya kaçabilir.
E hâl böyle olunca akıllara ister istemez iki soru gelir: Diş macunlarını yutarsak ne olur ve bu macunlar gerçekten zararlı mı?
Çoğu diş macununun ana aktif maddesi sodyum florürdür.
Bu madde, diş çürümesine karşı koruma sağlayan ve diş minesini yeniden mineralleştirmeye yardımcı olan önemli bir bileşendir fakat konu diş macunun yutulmasına gelince işler sarpa sarar.
Bir diş macunu tüpü yaklaşık 0,15 oranında florür içerir. Ölümcül olabilmesi için ise bir yetişkinin 8 tüpe eş değer miktarda diş macunu yutması gerekir. Fakat böyle bir durum, hayati tehlikeden ziyade birçok sağlık problemini beraberinde getirebilir.
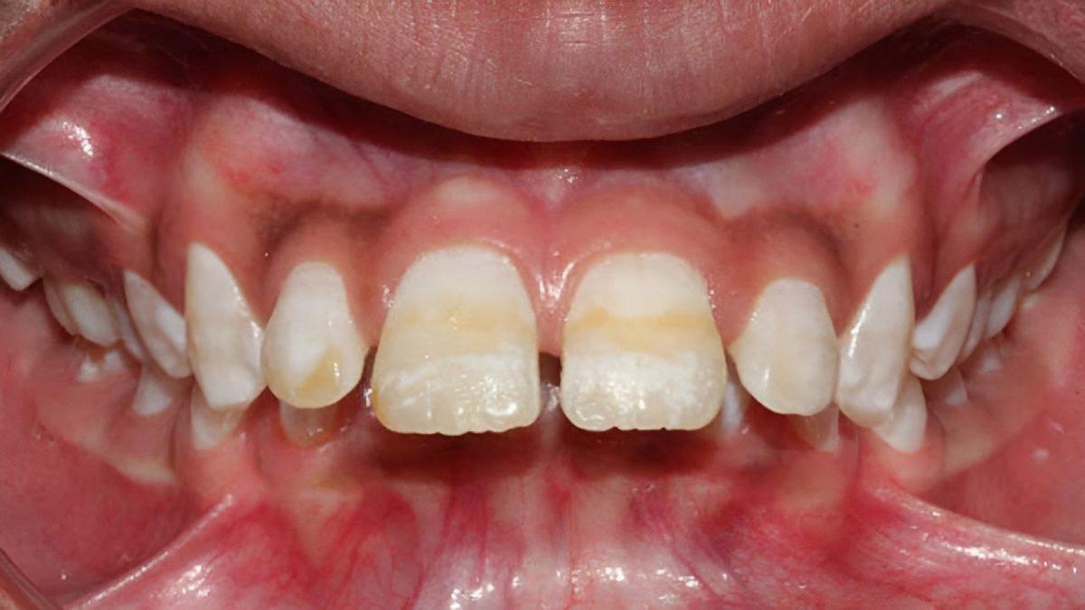
Örneğin diş florozu, çocukluk döneminde çok fazla florür tüketimi sonrasında dişlerde, soluk beyaz ve sarımsı lekelere neden olur.

Yetişkin dişlerine zarar vermeyip yalnızca çocukları etkisi altına alan diş florozu, diş minesinde renk değişimine sebep olur ve bu değişim kalıcıdır. Ayrıca hasarı tamamen geri döndürmek mümkün değildir. Hatta bazı durumlarda dişler aşınabilir.
Yine diş florozu 8 yaş altı çocuklarda daha sık görüldüğü için çocukların diş macunu kullanımını yakından takip etmek büyük önem taşır.
Çocuk veya yetişkin fark etmeksizin eğer bir kişi çok fazla florür içeren diş macunu tüketirse iskelet florozu rahatsızlığıyla mücadele etmek zorunda kalabilir.

İskelet florozu, diş minelerine verilen zarardan katbekat daha fazla rahatsız edicidir. Kemiklerin sertleşmesine ve elastikiyetlerinin azalmasına neden olarak kemiklerin kırılma olasılığını arttırır.
Ayrıca tek seferde çok miktarlarda florür tüketimi zehirlenmeye yol açabilir. İshal, mide bulantısı, kusma, salya akması, düzensiz kalp atışları ve göz tahrişi zehirlenme belirtileri arasındadır.
Öte yandan hamilelik esnasında yüksek florür alımı, bazı çocuklarda gelişimsel gecikmelere de sebep olabilir.
Bunun bir göstergesi, yüksek florüre maruz kalma ve IQ düşüşü arasındaki bağlantıdır. Bu konuda yapılmış epidemiyolojik çalışmalar da bu maddenin, çocukların entelektüel gelişimini bozan bir nörotoksin olduğunu gösterir.
Hipertiroidizme yol açabilecek tiroit bezlerinin hasar görmesi, florüre uzun süre maruz kalmanın bir başka olası sonucudur. Eğer kişide hipotiroidizm gelişmişse tiroit tarafından hayati hormonların üretiminde bir eksiklik olduğu sonucuna ulaşılabilir.
Yorgunluk ve saç dökülmesi bu rahatsızlığın en yaygın belirtilerindendir. Yine aşırı florür tüketimi sonucu gelişen hipertiroidizm, kemik sorunlarını da beraberinde getirir. Bu rahatsızlık sebebiyle kalsiyum eksikliği meydana gelir ve kemikler, daha kırılgan olur.
Özetle florür doğru dozda alındığında diş minesinin güçlü kalmasına yardımcı olur, bakteri üremesini engeller ve diş çürümesinin önüne geçilmesine yardımcı olur. Fakat bu maddeye gereğinden fazla maruz kalmak, çeşitli ve geri dönülmesi mümkün olmayan rahatsızlıklara davetiye çıkarabilir.




