Genel olarak herkes, organlarının nerede olduğunu az çok bilir. Kalbimizi gösterirken elimiz, göğüs kafesimizin soluna gider. Bazı kişilerin ise organları ters tarafta olabiliyor.
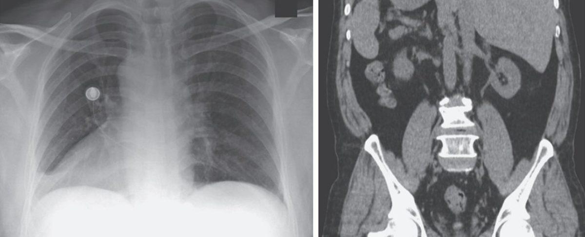
Keşfedilen son vakada, 66 yaşındaki bir adamın bütün organlarının ters tarafta olduğu ortaya çıktı. Öksürük ve göğüs ağrısı şikayetiyle hastaneye giden adamın, yapılan incelemelerde organlarındaki gariplik dikkat çekti. Bilimsel olarak situs inversus totalis adı verilen bu durum, kişilerin hayatına çok da etki etmiyor. Aslında, modern teşhis yöntemleri gelişene kadar bu durum hiç fark edilmemişti.
Yapılan incelemelerde, ABD’ye göçmeden önce 20 yıl boyunca sığınmacı kampında yaşayan adamın kalbinin sağda olduğu, diğer organların da ayna simetrisine göre yerleştiği ortaya çıktı. Yani normalde sağda olan karaciğeri solda yer alıyordu.

Adamın hastalığının ise basit bir üst solunum yolu rahatsızlığı olduğu ortaya çıktı. Basit bir ilaç tedavisi uygulanan adam daha sonra taburcu edildi. Situs inversus totalis, organların yerlerinin farklı olduğu vakalar arasında en yaygını ve kabaca her 10 bin kişiden 1’inde görülüyor.
Organlar, görece olarak doğru yerde oldukları sürece, yerleri ters bile olsa sorunsuz olarak çalışabiliyor. Bazen bu şekilde bir organ yapısına sahip olan kişiler, acil durumlar için kondisyonlarını belirten bir bileklik takıyor. Böylece acil müdahaleler yanlış tarafa yapılmıyor.

Organların konumlarındaki farklılık, tek bir organın, örneğin kalbin, olması gereken konumdan başka bir yerde olması durumunda ölümcül hale gelebiliyor. Modern teknoloji ile daha kolay teşhis edilebilen bu durum, zaman zaman X-Ray’de yapılan bir hata olarak ele alındığı için kişilere doğru teşhis koyulamayabiliyor.
Vaka raporu, New england Journal of Medicine’de yayımlandı.

